Дифференциальная диагностика диффузного токсического зоба
1. При субклиническом тиреотоксикозе может не быть клинических проявлений, поэтому при установлении такого диагноза нельзя ориентироваться только на симптоматику.
2. Обязательным при подозрении на базедову болезнь является исследование ТТГ и тиреоидных гормонов крови. Пониженный уровень ТТГ — это абсолютный диагностический критерий. Не следует забывать, что уровень Т3 и Т4 повышен в случае клинически развернутого тиреотоксикоза, при субклинической форме Т3 и Т4 могут быть в норме при пониженном ТТГ. Кроме того, почти всегда выявляется высокий уровень антител к рецептору ТТГ и часто — циркулирующие антитела к тиреоидной пероксидазе и тиреоглобулину (АТ-ТПО и АТ-ТГ).
3. При УЗИ выявляется диффузное увеличение щитовидной железы. Однако данные УЗИ не являются решающими, поскольку увеличение железы возможно и при других состояниях.
4. При сцинтиграфии выявляется диффузное накопление радиопрепарата всей тканью железы.
Дифференциальный диагноз проводится в первую очередь с заболеваниями и состояниями, протекающими с синдромом тиреотоксикоза (пузырный занос, ТТГ-секретирующая аденома гипофиза, некоторые тиреоидиты, функционирующие метастазы рака щитовидной железы), а также с заболеваниями сердечно-сосудистой системы, надпочечников, психопатиями.
Диффузно-узловой зоб щитовидной железы – лечение
Основной целью лечения узлового зоба является уменьшение нагрузки на щитовидную железу. Применяется консервативное медикаментозное лечение. У детей и взрослых младше 50 лет лечение начинают препаратами йода. Они замедляют производство ТТГ и останавливают рост зоба. Обычно рекомендуется калия йодид курсами по 20 дней. При отсутствии положительной динамики в течение полугода применяется комбинированная терапия препаратами йодида калия и левотироксина или супрессивная монотерапия препаратами левотироксина.
Иногда показано применение антитироидных препаратов, которые снижают синтез гормонов щитовидной железы.
Действенным методом лечения токсического зоба остается терапия радиоактивным йодом 131. С его помощью вызывается гибель клеток, что позволяет точечно воздействовать на узел. Разовые дозы облучения составляют 15-30 мки, поэтому обычно побочные эффекты сведены к минимуму.
В том случае когда узлы имеют небольшой размер и со временем не увеличиваются, специальная терапия не проводится. Пациента ставят на учет и проводят динамическое наблюдение.
Когда течение болезни тяжелое, единственным способом лечения узлового зоба остается хирургическое вмешательство. Показанием к проведению операции является:
- большой размер узла, сдавливание им окружающих тканей;
- подозрение на злокачественные изменения;
- быстрый рост зоба;
- загрудинное расположение;
- токсический зоб имеет множественные узлы;
- наличие кист, которые имеют размер более трех сантиметров.
После операции особое внимание уделяется нормализации гормонального фона, обычно необходимо принимать синтетические тиреодные гормоны для нормализации обменных процессов. Также рекомендован прием медикаментов, содержащих кальций.. Лечение узлового зоба народными средствами
Лечение узлового зоба народными средствами
Часто в лечении узлового зоба применяются народные средства. Существует множество настоек, отваров и сборов, которые могут положительно повлиять на динамику развития болезни. Популярностью пользуются разнообразные средства с добавлением орехов.
Настойка из грецких орехов.
- 50 зеленых орехов необходимо измельчить, затем добавить 100 граммов спирта и все это залить медом. Настойка стоит 30 суток в темном месте, затем ее необходимо принимать по одной чайной ложке четыре раза в день, запивая стаканом молока.
- Сорок грецких орехов заливают одним литром меда и настаивают в течение 40 дней. Затем принимают по 1 чайной ложке за полчаса перед приемом пищи, также запивая молоком.
- Грецкие орехи используются в качестве компресса в месторасположение зоба.
Орехи стали популярны в лечении благодаря высокому содержанию в них йода, молоко дополнительно помогает организму быстро усвоить его.
Лечение болезни Базедова
На сегодняшний день существует три способа лечения диффузно токсического зоба щитовидной железы: терапия тиреостатиками, радиоактивным йодом-131 и оперативное лечение. Они используются на протяжении почти 100 лет, и за это время не было изобретено других эффективных методов лечения страдающих базедовой болезнью.
Понятно, что тиреостатические препараты не оказывают никакого влияния на активность иммунной системы, иначе говоря, на причину заболевания они не действуют, а только уменьшают негативное воздействие избытка тиреоидных гормонов на организм, то есть тиреотоксикоз. После полуторагодичного курса лечения выздоравливает примерно половина пациентов . Кроме того, существуют случаи спонтанного излечения ДТЗ практически без какой‑либо терапии (по разным источникам, 2–5% ). Таким образом, заболевание либо проходит, либо требует радикального лечения.
Иногда в самом начале лекарственной терапии можно сделать предположение о ее перспективах и эффективности. Опыт показывает, что мало шансов на излечение у:
- больных с зобом больших размеров;
- мужчин;
- пациентов с изначально высоким уровнем T3 и Т4;
- больных с высоким титром антител к рецептору ТТГ .
2. Оперативное лечение базедовой болезни состоит в предельной субтотальной резекции щитовидной железы или даже тиреоидэктомии. Цель операции — достижение необратимого гипотиреоза, в связи с чем назначается пожизненная заместительная терапия левотироксином.
3. При терапии радиоактивным йодом назначается йод-131 в лечебной активности порядка 10–15 мКи. Показания к лечению радиойодом не отличаются от показаний к оперативному лечению.
Период полураспада радиоактивного йода-131 — всего 8 суток, облучение проводится локально. Поэтому по неинвазивности и безопасности этот метод даже предпочтительнее оперативного вмешательства, и в развитых странах он давно уже является методом выбора.
У нас все же более популярно оперативное лечение. Применение радиоактивного йода — дорогостоящий метод, и на него существует большая очередь, потому что радиологический центр в России только один — в городе Обнинске Калужской области. Отечественные нормы радиоактивной безопасности отличаются от западных и не позволяют проводить лечение радиойодом амбулаторно. К тому же пациенты часто опасаются слова «радиоактивный» и категорически отказываются от такого способа лечения.
В течение полутора лет пациент принимает тиреостатики, после чего через определенные промежутки времени оценивается уровень ТТГ и тиреоидных гормонов . Если эти показатели свидетельствуют о сохраняющемся тиреотоксикозе, ставится вопрос о радикальном лечении, которым в Европе, скорее всего, будет радиоактивный йод, а в нашей стране — операция.
Лечение
До сегодняшнего дня не существует конкретно специфического метода терапии тех процессов, которые ведут к развитию болезни. Диффузный токсический зоб нужно лечить таким образом, чтобы уменьшить признаки тиреотоксикоза. Изначально лечение диффузного токсического зоба предполагает прием тиреостатического препарата, который подбирает лечащий врач. В процессе приема такого медикаментозного средства симптомы заболевания у многих больных становятся менее выраженными. Препараты, которые уменьшают выработку гормонов щитовидной железы, обязательно назначают детям и молодым людям до 25 лет. Такие лекарства используют и для лечения больных в старшем возрасте, а также их нужно принимать, чтобы уменьшить симптомы болезни перед операцией.
Однако главной проблемой в этом случае является тот факт, что сразу же после отмены такого препарата часто отмечается рецидив заболевания, как у взрослых, так и у детей. Если имеет место рецидив, то больному назначается операция, при которой происходит удаление части железы. Такая операция называется тиреоидэктомией. Кроме традиционной операции практикуется разрушение клеток железы с помощью радиоактивного йода.
Радиоактивный йод пациент принимает в капсулах. Доза препарата зависит от размера зоба. Постепенно йод накапливается в клетках щитовидной железы, что ведет к их гибели. Перед приемом йода больной прекращает принимать тиреостатические средства. После лечения радиоактивным йодом симптомы болезни исчезают спустя несколько недель. В некоторых случаях назначается повторное лечение. Иногда функция щитовидной железы подавляется полностью. Несмотря на то, что такое лечение кажется относительно простым и удобным, его редко используют для терапии детей и молодых людей. Врачи насторожено относятся к вероятности вредного действия такого лечения на организм в целом. Хотя применение этого метода в течении около сорока лет не обнаружило вредного действия на другие системы организма.
Лечащий врач учитывает и тот факт, что беременность, как правило, улучшает состояние больной, у которой наблюдается заболевание легкой степени. Однако иногда у беременной женщины состояние, наоборот, усугубляется.
Симптомы заболевания эффективно снижают также медикаменты из другой группы — бета-блокаторы. Они способны блокировать воздействие слишком большого количества гормонов, выделяемых щитовидной железой, на организм, но при этом прямо на щитовидную железу не действуют.
Оперативное лечение практикуется при слишком больших размерах зоба, а также при отсутствии эффекта после приема медикаментов. Тиреоидэктомия проводится в стационаре, после чего госпитализация продолжается еще несколько дней.
Доктора
специализация: Эндокринолог

Колосовская Виктория Викторовна
1 отзывЗаписаться
Подобрать врача и записаться на прием
Мерказолил
Тирозол
Пропицил
Лития карбонат
L-Тироксин
Диагностика диффузного эутиреоидного зоба
Диагноз «диффузный эутиреоидный зоб» ставится на основании анамнеза, физикальных, лабораторных и инструментальных методов исследования
При анализе анамнестических данных обращают особое внимание на то, из какого региона прибыл обследуемый, его отношение к курению. У обследуемых женщин выясняют также количество беременностей и тип вскармливания новорожденных.
Лабораторные исследования предполагают определение уровня тиреотропного гормона, тиреоглобулина, а также гормонов Т3 и Т4 в крови. Инструментальные методы исследования включают в себя ультразвуковую диагностику, позволяющую определить размеры и форму щитовидной железы, её топографию и структуру. Такой метод исследования, как сцинтиграфия, используется для диагностики зоба, распространенного в загрудинное пространство. Если у обследуемых есть жалобы на одышку и комок в горле, проводят рентгенографию грудной клетки с введением контрастного вещества в пищевод.
Дифференцируют диффузный нетоксический зоб с узловой формой зоба, аутоиммунным тиреотоксикозом, опираясь на данные лабораторных исследований уровня тиреотропного гормона и ультразвукового исследования щитовидной железы.
Симптомы
Обычно многоузловые нетоксические зобы растут очень медленно в течение многих лет. Как правило, небольшое увеличение диагностируют во время запланированного исследования, такие формы редко вызывают симптомы.
Многоузловой нетоксический зоб больших размеров вызывает косметический дефект, сдавление трахеи, пищевода, гортани. Синдром компрессии сопровождается нарушением глотания, изменением голоса, затрудненным дыханием с напряжением. Загрудинный зоб вызывает изменение формы шеи, набухание вен шеи.
Стоит отметить, что иногда многоузловой нетоксический зоб вырастает до гигантских размеров.
На фоне прогрессирующего многоузлового нетоксического зоба может развиться состояние, которое сопровождается нарушением функции щитовидки, развитием тиреотоксикоза. Таким образом нетоксический зоб становится токсическим.
Однако если и происходит нарушение функции щитовидной железы, то оно чаще представлено гипотиреозом. Симптомы гипотиреоза включают усталость, зябкость, сонливость, сухость кожи, запоры, нарушение концентрации и внимания.
Диагностика
Диагноз ставится на основании опроса, осмотра, результатов лабораторных и инструментальных методов исследования.
На первичной консультации врач-эндокринолог проводит опрос. Врач узнает, как давно пациент стал замечать увеличение размеров щитовидки. Скорость роста, выясняет анамнез, случаи многоузлового нетоксического зоба и медуллярного рака в семье, а также историю облучения области головы и шеи
Внимание уделяют таким симптомам, как изменение голоса, нарушение и затруднение глотания. При пальпации щитовидной железы врач может определить узлы размером более 1 см.
Лабораторная диагностика:
- Анализ крови на тиреотропный гормон (ТТГ); при снижении ТТГ дополнительно исследуют уровень свободного тироксина (Т4), трийодтиронина (Т3), а также антитела к ТТГ
- Исследование кальцитонина (результат влияет на показания к тонкоигольной аспирационной биопсии)
Инструментальная диагностика:
Ультразвуковое исследование щитовидной железы, лимфоузлов с определением объема щитовидки, описанием структурных изменений (контур, размер, форма, наличие собственных сосудов, количество очагов). УЗИ – «золотой стандарт» инструментальной диагностики, самый распространенный метод визуализации щитовидной железы.
Тонкоигольная аспирационная биопсия (ТАБ) под навигационным УЗ-контролем рекомендована при наличии подозрительных по результатам УЗИ узлов и отягощенного анамнеза по раку.
Лечение узлового зоба
Часто узловой зоб развивается медленно и не требует лечения. Но пациент в любом случае должен регулярно осматриваться эндокринологом каждые 9-12 месяцев. Также нужно ежегодно делать УЗИ щитовидной железы, анализы на гормоны.
В случаях, когда узловой зоб заметно развивается, эндокринолог назначает таблетки с гормонами и возможно, йодид калия.
При начавшемся росте проводится биопсия – исследование тканей образования на наличие злокачественных клеток. Это позволяет выявить злокачественные новообразования на ранних стадиях. Образования, которые растут, беспокоят, болят, повышают выработку гормонов, а также узлы, подозрительные на рак, подлежат удалению.
Симптомы
Базедова болезнь у человека выражается признаками, характерными для тиреотоксикоза. Симптомы базедовой болезни определяются тем, что в организме больного отмечается ускорение всех процессов метаболизма. У него отмечается учащенный пульс, часто наблюдается понос, очень активным является потовыделение. Происходит также стимуляция нервной системы, что ведет к тому, что человек становится очень раздражительным, иногда у него дрожат руки. Больной, у которого развивается базедова болезнь, очень плохо переносит жару и солнце.
Часто при наличии аппетита больной теряет в весе, так как пища, которая поступает в его организм, не поспевает компенсировать слишком быстрый распад белков. К тому же большое количество гормонов, которые продуцирует щитовидная железа, становится причиной слишком быстрого распада питательных веществ, что, в свою очередь, ведет к высоким энергетическим затратам. Но у больных в молодом возрасте часто масса тела увеличивается, хотя при этом наблюдаются признаки усиленного обмена веществ. Усиленное мочеиспускание, которое возникает при этой болезни, часто ведет к обезвоживанию организма. Именно поэтому лечение базедовой болезни должно быть своевременным и правильным.
Часто при базедовой болезни отмечается эндокринная офтальмопатия, для которой характерно пучеглазие. Чаще всего офтальмопатия разной тяжести развивается при диффузно-токсическом зобе. В большинстве случаев поражаются оба глаза, а признаки этой болезни, как правило, развиваются вместе с основными симптомами диффузно-токсического зоба. Но иногда офтальмопатия развивается раньше или позже болезни щитовидной железы.
Усиленная выработка гормонов щитовидной железы ведет к изменению поведения, переменам настроения, наблюдается сильная обидчивость, депрессивное состояние. Иногда развиваются фобии, а также может возникать периодически состояние эйфории. Расстройства сна сопровождают очень частые пробуждения, тревожные сновидения.
Позже у больного появляется зоб — опухолевидное увеличение железы, которое заметно невооруженным глазом. При этом возникает припухлость на поверхности шеи спереди, которую врач легко замечает при осмотре.
Принято выделять три степени тяжести заболевания. Если при легкой степени тиреотоксикоза отмечаются умеренные симптомы, то при тяжелом тиреотоксикозе у человека усиливается сердцебиение, похудание доходит до степени катехсии, человек страдает от слабости. Если вовремя не лечить болезнь, то возможно развитие тиреотоксического криза.
Аутоиммунный тиреоидит (АИТ) на УЗИ
Хронический аутоиммунный тиреоидит — это аутоиммунное заболевание, при котором лимфоциты атакуют клетки щитовидной железы. На месте погибших клеток образуется фиброзная соединительная ткань, синтез гормонов постепенно снижается.
АИТ подтверждают положительные антитиреоидные антитела – к тиреопероксидазе (АТ-ТПО) и тиреоглобулину (АТ-ТГ). Функциональное состояние железы может быть различным – гипер-, гипо- или эутиреоз.
Различают гипертрофическую и атрофическую формы АИТ. При гипертрофической форме объем железы значительно увеличен. При атрофической форме объем железы уменьшен или в пределах нормы, часто сопутствует гипотиреоз. Являются эти формы вариантами развития или последовательными стадиями АИТ — вопрос открытый.
При аутоиммунном тиреоидите на УЗИ паренхима гипоэхогенная, грубонеоднородной за счет узелков (2-6 мм) разной эхогенности, неправильной формы. Очаги изоэхогенные к ткани слюнных желез пока не вовлечены в воспаление; в резко гипоэхогенных фокусах воспаление максимально выражено; в гиперэхогенных округлых или линейных структурах произошло замещение паренхимы на соединительную ткань. При тиреоидите Хашимото аномальная УЗ-картина сохраняется на протяжении всей жизни пациента. Подробнее смотри Аутоиммунная щитовидная железа на УЗИ (лекция на Диагностере).
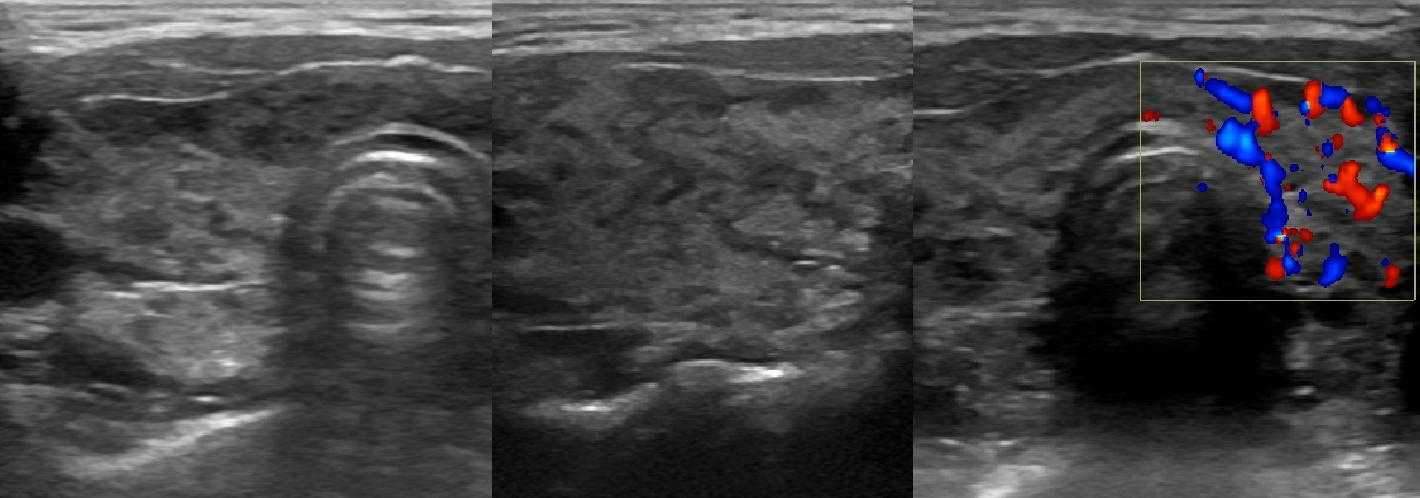
Рисунок. Девочка 10-ти лет с эутиреозом и антитиреоидными антителами. На УЗИ щитовидная железа увеличена в 1,5 раза — 13 см3 (норма до 8,3 см3). На фоне неизмененной паренхимы определяются гипоэхогенные «змеи» (лимфоидная инфильтрация по ходу сосудов). Кровоток заметно усилен. Заключение: АИТ, гипертрофическая форма. Аналогично может начинаться диффузный токсический зоб.

Рисунок. Пациент с гипотиреозом и антитиреоидными антителами. На УЗИ щитовидная железа диффузно увеличена; контур волнистый; на фоне нормальной паренхимы в большом количестве гипоэхогенные очаги (3-5 мм) с четким контуром без «гало». Заключение: АИТ, гипертрофическая форма.
Рисунок. Пациент с гипертиреозом и антитиреоидными антителами. На УЗИ щитовидная железа диффузно увеличена; на фоне общего снижения эхогенности определяются гипоэхогенные включения (2-4 мм) и линейные гиперэхогенные структуры; кровоток заметно усилен. Заключение: АИТ, гипертрофическая форма.

Классификация
Для постановки диагноза многоузлового нетоксического увеличения щитовидной железы используют две классификации.
Классификация размеров ВОЗ (2001г.):
- 0 степень – патологии нет
- 1 степень – Многоузловой нетоксический зоб не определяется визуально, но пальпируется. К этой же категории относят все узловые образования, не увеличивающие щитовидную железу
- 2 степень – зоб виден при нормальном положении шеи
Тактику ведения пациента с многоузловым нетоксическим зобом определяют согласно классификации Бетседа:
1 – Неинформативный образец. Рекомендовано повторное выполнения ТАБ.
2 – Доброкачественные изменения. Наблюдение.
3 – Атипия неопределенного характера. Следует выполнить повторную ТАБ/молекулярно-генетический анализ/гемитиреоидэктомию.
4 – Фолликулярная атипия или подозрение на нее. Рекомендовано выполнение молекулярно-генетического анализа/гемитиреоидэктомии
5 – Подозрение на злокачественное новообразование. Гемитиреоидэктомия/Тотальная тиреоидэктомия
6 – Подтвержденное злокачественное новообразование. Гемитиреоидэктомия/Тотальная тиреоидэктомия
Тиреотоксический криз
Наиболее опасное осложнение тиреотоксикоза — тиреотоксический криз. Это остро развивающийся клинический синдром, который представляет собой сочетание тиреотоксикоза с тирогенной надпочечниковой недостаточностью.
Тиреотоксический криз развивается на фоне неадекватной тиреостатической терапии после хирургических вмешательств и при острых экстратиреоидных заболеваниях. Причины его возникновения изучены недостаточно. Больные с тиреотоксическим кризом подлежат наблюдению и лечению в отделении реанимации.
Клинически тиреотоксический криз проявляется резким нарастанием симптомов тиреотоксикоза с прогрессирующим нарушением функций сердечно-сосудистой системы, ЖКТ, ЦНС, печени и почек. Отмечается гипертермия до 40 °С, тахикардия, угнетение сознания вплоть до комы. Тиреотоксическая кома почти всегда заканчивается летальным исходом. Кроме того, часто развивается крайне трудно корригируемая острая сердечно-сосудистая недостаточность, которая является самым тяжелым осложнением тиреотоксического криза. Летальность при тиреотоксическом кризе достигает 75% .
Виды зоба и узлов
Зоб щитовидки может размещаться в разных местах:
- на шее;
- в дуге аорты (средостение);
- за грудиной — загрудинный зоб.
Узлы, обнаруженные в щитовидной железе, могут быть нескольких видов:
- Единичные (солитарные). В этом случае обнаруживается одно образование, которое может быть разного размера.
- Множественные. Внутри железы находится несколько образований. Такая форма болезни может быть многоузловой, при которой узлы не соединены друг с другом, и конгломератной, при которой узлы спаиваются друг с другом, формируя крупные образования.
По структуре выделяют
- узелковые – пальпируемые узелки в железе;
- паренхиматозные – образованные паренхимой щитовидной железы;
- паренхиматозный узловой зоб – пальпируемые узелки и увеличенная паренхима.
Истории лечения
Узловой зоб
Пациентка В., 45 лет. Обратилась в Клинику ЭКСПЕРТ с данными УЗИ щитовидной железы. Жалоб на самочувствие не было. Пошла обследоваться «за компанию» с подругой. В семье пациентки родственников, страдающих патологией щитовидной железы, нет. При первом УЗИ были выявлены множественные очень мелкие изменения в ткани железы 3-6 мм в диаметре, описанные УЗ-специалистом как «множественные узлы». Пациентка выполнила исследование крови на гормоны щитовидной железы, отклонений в данных лабораторного обследования не обнаружилось. Пациентке было предложено динамическое наблюдение (контроль УЗИ) каждые полгода, что пациентка и делала. На прием пришла с пятью УЗ-заключениями, в которых изменений в размерах очагов в щитовидной железе не выявлено. Тем не менее, динамическое обследование рекомендовалось УЗ-специалистом.
Пациентка И., 32 года. На самочувствие не жаловалась. Направлена к эндокринологу после диспансерного осмотра, в ходе которого терапевтом заподозрен узел в щитовидной железе. При обследовании узловой зоб был подтвержден – узел 12 мм в диаметре с нечеткими контурами и повышенным кровотоком внутри. Гормональная функция железы не нарушалась. Была выполнена биопсия узла, по итогам которой выявлено подозрение на рак щитовидной железы. Пациентка была прооперирована (удалена железа и частично лимфоузлы на шее). При последующем гистологическом исследовании диагноз рака подтвержден, дополнительно выявлены метастазы в лимфоузлы. Пациентке потребовалось дальнейшее лечение – радиойодтерапия. В настоящее время пациентка получает лечение и находится под динамическим контролем эндокринолога и онколога. Данных о прогрессировании и возврата болезни спустя 2 года нет.Впоследствии (через 3 года), убедившись в том, что болезнь не вернулась, пациентка планирует беременность.
Гипотиреоз
Пациентка М., 20 лет. В течение 3 лет постепенно неуклонно набирает вес. Отмечает отеки на лице, на кистях рук, на ногах, на животе. В течение всего этого времени беспокоят непрекращающиеся запоры. Кожа стала бледной, с желтоватым оттенком. Пациентка учится в институте на III курсе. Стала хуже учиться, т.к. ухудшились внимания и способность запоминать, стало трудно усваивать большой объем информации, хотя раньше учеба давалась легко. Пыталась больше заниматься. Все описанные жалобы – в особенности изменение веса, отеки и запоры – связывала с тем, что ведет преимущественно сидячий образ жизни. Старалась применять «различные диеты» для снижения веса. Значительного эффекта они не приносили. Для нормализации стула использовала слабительные, клизмы. Обратилась в студенческую поликлинику. При обследовании был выявлен сниженный уровень гемоглобина. Назначены препараты железа, витаминные препараты, но значительного эффекта от лечения не было.Обратилась в Клинику ЭКСПЕРТ. При обследовании был выявлен гипотиреоз на фоне аутоиммунного тиреоидита. Пациентке назначено лечение, все симптомы болезни прошли в течение 3 месяцев.




























