Симптомы кисты яичника
Ранние стадии болезни протекают практически бессимптомно. Чаще всего новообразование становится случайной находкой во время планового УЗИ. При прогрессировании патологического процесса появляются заметные симптомы кисты яичника:
- периодическая боль внизу живота;
- болезненные ощущения усиливаются во время физической активности, сексуального контакта и менструации;
- сложности с зачатием;
- учащенное мочеиспускание;
- сбой менструального цикла, вплоть до аменореи;
- увеличение живота, вздутие;
- нетипичные влагалищные выделения: кровь вне менструации, слизь;
- изменение массы тела.
Общее понятие о кисте яичников
Киста правого или левого яичника представляет собой полостное образование, заполненное содержимым разной консистенции. Кисты могут быть функциональными, то есть, образовавшимися в результате деятельности придатков матки, и патологические. Известно несколько видов кист яичников:
- Фолликулярная киста яичников представляет собой полостное образование, возникающее из-за того, что не происходит разрыва созревшего фолликула выхода яйцеклетки, то есть, отсутствует овуляция.
- Киста жёлтого тела яичников образуется по причине остановки прогрессирования этого образования. Клинически себя ничем не проявляет.
- Дермоидная киста яичников образуется в эмбриогенезе. В её полости можно обнаружить волосы, зубы, глаза, ногти и зачатки внутренних органов.
- Муцинозная киста правого или левого яичника является многокамерным образованием, которое содержит слизь. При её перфорации или разрыве происходит обсеменение полости малого таза и брюшины специфическими клетками, которые взвешены в муцине.
- Эндометроидная киста развивается вследствие образования гетеротопий эндометриоза в придатках матки. Её симптомы становятся более выраженными во время менструации. Если эндометриоидная киста располагается в правом яичнике, то у женщины могут появиться признаки, напоминающие острый аппендицит.
Практически все функциональные кисты яичников протекают бессимптомно, если их диаметр не превышает трёх сантиметров. Когда они достигают больших размеров, то сдавливают прилегающие ткани яичников, вызывают угнетение фолликулов и замещение структур придатков матки соединительнотканными элементами.
В основном кисты яичников находят во время гинекологического обследования и на УЗИ. Они имеют разную эхогенную структуру, но у всех образований имеется камера, оболочка, ровные края и неодинаковое содержимое. Киста правого и левого яичника может протекать с такими осложнениями:
- нагноение;
- перекрут ножки;
- перфорация стенки кисты;
- разрыв образования.
Все осложнения кисты придатков матки имеют общие признаки:
- тошнота или рвота, которая не приносит, в большинстве случаев, облегчения;
- повышение температуры до 380С;
- острая, внезапно возникшая боль внизу живота;
- тахикардия;
- напряжение передней брюшной стенки.
Если киста расположена в правом яичнике, то часто её путают с острым аппендицитом. Для того чтобы исключить острую хирургическую патологию брюшной полости, в данном случае проводят дифференциальную диагностику. Так, и для острого аппендицита, и для кисты правого яичника, характерно острое начало. Но боль при остром аппендиците возникает в эпигастрии и только спустя шесть часов перемещается в правую паховую область. При разрыве или перекруте кисты правого яичника боль возникает внизу живота, справа.
При остром аппендиците вначале заболевания бывает тошнота и однократная рвота, а в случае осложнения кисты правого яичника рвота постоянная и после неё пациентке не становится легче. Если произошёл разрыв кисты правого яичника, и возникло внутрибрюшное кровотечение, то будут иметь место общие признаки кровопотери: потеря сознания или оглушённость, бледность, тахикардия и гипотония. При пальпации живота при апоплексии правого яичника, как и при аппендиците, в правой подвздошной области выявляют выраженную болезненность, дефанс мыщц и симптомы раздражения брюшины. Из-за выхода крови в брюшную полость будет притупление при пальпации в правой половине живота, нижней её части.
Во время гинекологического осмотра в случае аппендицита можно обнаружить болезненность в малом тазу, а при разрыве кисты правого яичника определяется нависание стенки дугласова пространства вследствие скопления жидкости в правом фланке.
Цистаденомы яичников на УЗИ
Цистаденома — это доброкачественная опухоль из тела яичника. Такие кисты часты располагаются над маткой, при длинной ножке и отсутствии спаек легко смещаются, растут постепенно и могут достигать 30 кг. Цистаденомы яичников различают по структуре стенки: серозная, муцинозная, папиллярная.
Серозная цистаденома чаще поражает только один яичник, обычно однокамерная, правильной формы, имеет плотную капсулу 1-4 мм, внутренняя и наружная поверхность гладкая, содержимое анэхогенное. Внутренняя поверхность выстлана эпителием яичника или трубным эпителием. Когда выстилка атрофируется, киста перестает расти — ретенционная киста без эпителия. Серозная цистаденома не представляет опасности в плане малигнизации, однако может сдавливать окружающие ткани.
Рисунок. Молодая женщина с жалобами на маточные кровотечения и чувство распирания внизу живота. На УЗИ анэхогенные многокамерные образования с тонкими и гладкими перегородками исходят из правого (1) и левого (2) яичников, размер 10х7 и 7х6 см. Заключение: Серозная цистаденома.
Муцинозная цистаденома яичника многокамерная, в просвете крупных кист располагаются более мелкие; контур волнистый, местами крупнобугристый; стенки тонкие, гладкие; содержимое анэхогенное или гипоэхогенное. Внутренняя выстилка похожа на эпителий шейки матки и вырабатывает слизь. Риск малигнизации муцинозной цистаденомы 15 %.
Рисунок. На УЗИ многокамерная кистозная масса с волнистым контуром, содержимое гипо- и анэхогенное, стенки местами утолщены — солидные компоненты. Заключение: Муцинозная цистаденома.
Цистаденофиброма яичника развивается, когда в серозной или муцинозной цистаденоме появляются сосочковые разрастания. Риск малигнизации цистаденофибромы 50%, второе её название – пограничная цистаденома. Женщинам с цистаденофибромой, назначают анализы крови на онкомаркеры (СА-125, HE4) и МРТ. Лечение только хирургическое.
Рисунок. Пациентка с жалобами на тянущие боли внизу живота. На УЗИ в позадиматочном пространстве и над маткой мнококамерное анхогенное с гладкими стенками образование, акустическое усиление позади, размер более 10 см (1, 2). На КТ из правого яичника исходит многокамерное кистозное образование (5). При контрастном исследовании определяютяс солидные компоненты. Заключение по результатам гистологии: Серозная цистаденофиброма.
Последствия лапароскопического удаления кисты левого и правого яичника
Как и после других операций, после лапароскопии возможны некоторые неприятные последствия. Так, довольно редко в послеоперационном периоде может развиваться спаечный процесс брюшной полости. Они иногда начинают бесконтрольно развиваться и приводят к бесплодию. Во избежание такого осложнения после лапароскопии женщина должна выполнять все рекомендации врача и пройти курс реабилитации.
В течение одного месяца после лапароскопии, выполненной по поводу кисты левого и правого яичника, необходимо воздерживаться от занятий спортом и избегать половых контактов. Спустя это время можно начинать увеличивать физические нагрузки, но начинать следует с минимальных. Во время занятий спортом необходимо полностью контролировать границу допустимого напряжения. Первые три месяца после лапароскопии не рекомендуется поднимать тяжести, вес которых превышает три килограмма. В последующие три месяца нельзя поднимать более пяти килограмм.
Вернуться к обычному ритму жизни и занятиям спортом можно будет только после осмотра лечащим врачом, независимо от того, операция выполнялась по поводу кисты левого или правого яичника. Если женщина занимается тяжёлыми видами спорта или работает на производстве, связанном с подъёмом грузов, ей придётся ограничивать себя ещё некоторое время.
Многие женщины интересуются, возможна ли беременность после лапароскопического удаления кисты яичников. Без сомнения, наступление беременности может только приветствоваться, поскольку эта операция часто выполняется именно по причине бесплодия. Как показывают данные статистики, у восьмидесяти процентов пациенток беременеют в первый год после операции, из них двадцать процентов спустя один месяц, двадцать процентов на протяжении пяти месяцев, а остальным приходится подождать до одного года.
Месячные после лапароскопии, выполненной по поводу кисты правого или левого яичника, должны наступить по графику пациентки, так как во время операции целостность здоровой ткани не нарушается. Не стоит беспокоиться, если после лапароскопии менструальный цикл незначительно сдвинется, поскольку так или иначе всё же имеет место операционная травма. Если после операции у женщины появляются из влагалища слизистые выделения, то это можно считать вариантом нормы и ни о чём не беспокоиться. Но если они приобретут коричнево-зеленый или жёлто-зеленый оттенок, то это значит, что произошло инфицирование. В таком случае необходимо сразу же обратиться к врачу, особенно если повысится температура тела, появится слабость и дискомфорт, а также сонливость.
Во время приёма антибиотиков, которые назначают после лапароскопии, могут появиться влагалищные выделения белого цвета. Они могут быть свидетельством появившейся молочницы. В таком случае необходимо сдать мазок и выяснить их причину.
Процесс реабилитации после лапароскопии по поводу кисты левого или правого яичника ускоряется, если женщина будет соблюдать диету. В первые три месяца после операции необходимо употреблять пищу, которая содержит достаточное количество клетчатки. Это улучшает перистальтику, способствует формированию оформленного мягкого кала и уменьшает газообразование в кишечнике. В этот период времени следует отказаться от жареной и жирной пищи, избегать употребления солений и копчёностей. На протяжении полутора месяцев после операции не разрешается употреблять спиртные напитки.
Для ускорения восстановления организма следует употреблять много овощей, фруктов и ягод, диетического мяса и каш, приготовленных из гречневой, овсяной и пшеничной круп. Полезными будут свежеотжатые соки, кисломолочные продукты домашнего приготовления, а также зелень. Для нормализации микрофлоры врач может назначить препараты, которые содержат полезные микроорганизмы.
Киста яичника, независимо от того, левого или правого, может либо самостоятельно лизироваться, либо разорваться. В первом случае всё пройдёт бесследно, а во втором – понадобится неотложное оперативное вмешательство. Во избежание этого лучше её оперировать в плановом порядке, применив лапароскопический доступ.
Бесплатный прием репродуктолога
по 31 марта 2023Осталось 8 дней
Уважаемые пациенты! Клиника «Центр ЭКО» приглашает вас на бесплатный прием репродуктолога с проведением УЗИ и составлением плана лечения.
Кисты яичников — симптомы
Симптомы, свидетельствующие о наличии кисты на яичниках, чаще всего отсутствуют. Кисты обнаруживаются при регулярном гинекологическом осмотре. Некоторые женщины могут испытывать боль, которая варьируется от легкого давления до острой (колющей) боли.
Другие симптомы:
- боль во время полового акта;
- ощущение давления в тазу;
- нарушение цикла;
- нарушение функции кишечника — запор, диарея, тяжесть и ощущение распирания в животе, болезненная перистальтика кишечника;
- более частое мочеиспускание;
- нерегулярное или сильное кровотечение.
Опасность кисты яичника — перекрут, состояние, при котором киста обвивается вокруг ножки из-за резкого движения или физического напряжения и прерывает кровоток, вызывая внезапную и резкую боль. Если киста не откручивается самостоятельно, требуется срочное хирургическое вмешательство.
Симптомы, указывающие на злокачественную кисту:
- внезапная резкая боль в тазу;
- ощущение тяжести и распирания в животе;
- тошнота и рвота;
- потеря аппетита и неконтролируемое похудание.
Злокачественные кисты отличаются от доброкачественных по внешнему виду и окончательно подтверждаются анализом образца ткани (биопсией). К сожалению, злокачественные кисты могут протекать бессимптомно до появления метастазов
Вот почему важно регулярно проверяться у гинеколога, особенно если в семье есть предрасположенность к раку яичников и груди
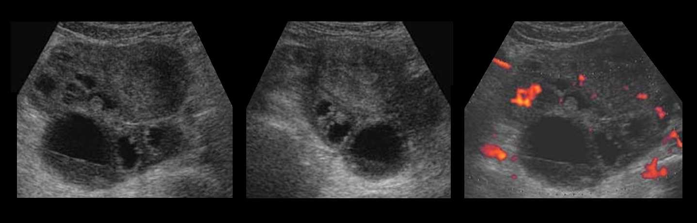
Злокачественные кисты при УЗИ обычно отличаются от доброкачественных по внешнему виду: в них больше полостей, выступов внутри кисты, они частично жидкие, частично твердые и т. д. При малейшем подозрении на злокачественную кисту с помощью обычного УЗИ, проводятся исследования кровотока через кисту. Рекомендуется цветное допплеровское ультразвуковое исследование и определение онкомаркеров в крови (CA 125, CA 19-9, CAE, beta HCG, HE 4, индекс ROMA). Следует отметить, что обе процедуры имеют свои ограничения.
Киста яичника с перегородкой: что это, разновидности образования
Когда пациентке ставится диагноз «многокамерная киста яичника», доктор объясняет, что под данным термином понимается новообразование со стенками из тканей или эпителия органа. Если обычная киста – это полый пузырек с жидкостью, то многокамерный тип разделен этими стенками-перегородками.
В зависимости от причин формирования выделяют несколько видов новообразований:
- Фолликулярная. Такой тип многокамерного образования яичника говорит о запущенном воспалительном процессе. Он лечится с помощью медикаментов в течение 2-3 месяцев.
- Лютеиновая. Жидкость внутри полости будет с примесями крови, при этом внешняя симптоматика не наблюдается. Если не лечить патологию, существует риск разрыва.
- Параовариальная. При образовании захватывает расположенные рядом органы и подлежит удалению.
В зависимости от локализации, полость может располагаться справа и слева, а также быть не двухкамерной, а трехкамерной. Подробнее об этом можно узнать из видеоролика:
Двухкамерная киста левого яичника
Новообразование из двух камер зачастую заполняется жидкостью слегка желтого оттенка. Оно возникает как на правом, так на левом яичнике. Симптоматика и проявления патологии будут одинаковыми, но в случае различной локализации они будут разниться.
Симптомы двухкамерного образования в яичнике слева будут такими:
- боли, локализованные в нижней области живота, отдающие в левый бок;
- приступы рвоты;
- выделения с примесями крови;
- проблемы с зачатием;
- вздутие живота;
- изменение показателей температуры;
- головокружение.
Женщине может казаться, что болит не область кисты, а поджелудочная железа или левая почка, потому как боль распространяется по всей левой стороне. Также может присутствовать дискомфорт при наклонах влево, поднятиях тяжелых предметов. Чтобы не допустить ухудшения здоровья, необходимо срочно обратиться за медицинской помощью.
Двухкамерная киста правого яичника
Многокамерная киста нередко развивается у женщин репродуктивного возраста, доставляя пациентке массу проблем. На начальной стадии развития она не приносит болезненных ощущений – они появляются спустя некоторое время, когда новообразование начинает расти. Полостное образование справа характеризуется такими симптомами:
- чувство распирания внизу живота, локализующееся с правой стороны;
- кровянистые выделения, не связанные с менструацией;
- метеоризм и запоры;
- возможная аритмия и тахикардия;
- повышенное потоотделение;
- сбои менструального цикла.
Такие проявления характерны и для многокамерной кисты левого яичника, только боль в данном случае будет отдавать в правую сторону тела. Может показаться, что болит печень или правая почка, однако осмотр у гинеколога и УЗИ подтвердят наличие двухкамерной кисты яичника.
Трехкамерная киста
Трехкамерное новообразование является более опасным, чем такая же киста из двух отделов, разделенных перегородками. Опасность для девушки представляет возможность возникновения злокачественных клеток в полости. Кроме того, на начальной фазе развития ее легко перепутать с первой стадией онкологии.
Трехкамерная киста яичника – это скопление трех полостей, которые разделены между собой перегородками из стенок эпителия или тканей яичника. Внутри пузырьков скапливается слизистая жидкость. Одной из предпосылок к появлению будет соединение нескольких пузырьков в единую полость и их одновременный рост.
Чем опасны кисты яичника? Как их лечить?
Перед тем, как назначить лечение кисты яичника, необходимо определить ее этиологию. Чаще всего врачи-гинекологи выполняют УЗИ-диагностику, которая дает результаты высокой точности. Также врач-гинеколог может направить пациентку на дообследование для получения дополнительной информации для определения этиологии кисты — сдать анализ на онкомаркеры, а также пройти МРТ-диагностику.
На сегодняшний день врачи-гинекологи выделяют 2 основных типа кист: истинные и функциональные, появление которых связано с гормональным фоном женщины.
Функциональная киста
При обнаружении функциональной кисты назначается определенное лечение, а также повторное обследование после менструации. Очень часто функциональная киста представлена “кистой желтого тела”, которая формируется после овуляции и самостоятельно подвергается обратному развитию, не требуя дополнительного лечения. Также разновидностью функциональной кисты являются фолликулярные кисты — они могут проходить самостоятельно после менструации.
Истинная киста
Истинные кисты — это серьезное состояние организма, которое требует лечения. Истинные кисты могут давать боли, перекруты, разрывы, рост и перерождение в злокачественное образование.
Истинные кисты бывают следующих видов:
- Эндометриоидная киста — киста, которая при отсутствии своевременного лечения (операции), приводит к бесплодию. Эндометриоидная киста находится в яичнике. Во время менструации клетки эндометриоидной кисты продуцируют менструальную кровь, которая скапливается внутри кисты. В результате данного процесса эндометриоидные кисты могут увеличиваться до больших размеров, что может привести к разрыву кисты. Такая киста “сдавливает” здоровую ткань яичника, что способствует исчезновению фолликулов и приводит к бесплодию. Также одним из серьезных осложнений эндометриоидной кисты является ее разрыв, во время которого содержимое кисты (клетки эндометрия) попадает в малый таз и брюшную полость, вызывая тяжелое заболевание — наружный эндометриоз — которое характеризуется постоянными болями, плохо поддается лечению и может привести к бесплодию. Именно поэтому такие кисты необходимо оперировать в срочном порядке во избежании тяжелых последствий. После операции по удалению такой кисты мы всегда рекомендуем женщинам в ближайшее время планировать беременность.
- Цистаденома — истинная киста яичника. Встречаются муцинозные и серозные цистаденомы. Основной опасностью цистаденом является их высокий потенциал к озлокачествлению, поэтому при обнаружении такого типа кисты врач-гинеколог назначает оперативное лечение.
- Дермоидная киста. Представлена зачаточными элементами придаточных тканей организма, которые образуются в процессе развития. Особенностью таких кист является медленный, но постоянный рост. Дермоидная киста может достигать крупных размеров, оказывать давление на соседние органы и вызывать боли в области живота. Содержимым дермоидных кист могут быть фрагменты костей, волосы, зубы, жировая ткань, которые погружены в вязкую жидкость и окружены толстой плотной оболочкой.
Профилактика
Функциональные овариальные кисты способны формироваться неоднократно, пока у женщины имеются менструации. Правильно подобранные КОК предупреждают возникновение рецидивов. При наличии эндометриоидных кист прогноз сомнительный и во многом зависит от степени распространения эндометриоза, выполненной операции и последующей гормонотерапии. При дермоидных кистах прогноз благоприятный, рецидивы не случаются. После излечения кисты (удаления либо консервативной терапии) у многих женщин наступает беременность.
Специфических мер профилактики кисты яичника не разработано. Неспецифические меры включают:
- ежегодное посещение гинеколога;
- правильно подобранная контрацепция (КОК);
- ведение здорового образа жизни;
- соблюдение рационального питания (богатое витаминами, правильное соотношение нутриентов);
- борьба с ожирением;
- отказ от процедур с высокими температурами (прием горячих ванн, посещение бани/сауны).
- Charlie C. Kilpatrick , MD, MEd, (Baylor College of Medicine). Доброкачественные опухоли яичников. — Справочник MSD, профессиональная русскоязычная версия. 05.2019.
- Lawrence S Amesse, MD, PhD. — Англоязычная база актуальных медицинских данных Medscape. 10.2019.
- Shannon M Grabosch, MD. Ovarian Cysts. — Англоязычная база актуальных медицинских данных Medscape. 12.2018.
Воспаление придатков на УЗИ
Воспаление маточных труб сопровождается экссудацией жидкости в просвет — гидросальпинкс. На УЗИ между маткой и нормальным яичником определяется вытянутой формы одно- или многокамерное анэхогенное образование с тонкими стенками. При хроническом сальпингите стенка маточных труб утолщена, по периферии гиперэхогенные мелкие (2-3 мм) структуры по типу «бисера»; в просвете неоднородная взвесь.
Рисунок. Женщина с жалобами на тянущие боли внизу живота, появились нескольких дней. Матка и правый яичник удалены 4 года назад. На УЗИ левый яичник соприкасается с анэхогенной трубчатой структурой с неполными перегородками. Заключение: Гидросальпинкс слева.
Рисунок. На УЗИ между маткой и яичником определяется многокамерная анэхогенная структура, стенки толстые с мелкими гиперэхогенными включениями по типу «бисера», в просвете мелкодисперсная взвесь и уровни. Заключение: Хронический сальпингит.

Источники
- Ozgur K., Berkkanoglu M., Bulut H., Tore H., Donmez L., Coetzee K. Dydrogesterone versus medroxyprogesterone acetate co-treatment ovarian stimulation for IVF: a matched cohort study of 236 freeze-all-IVF cycles. // J Obstet Gynaecol — 2021 — Vol — NNULL — p.1-8; PMID:33892620
- Yousefi Aldashi S., Saffari Z., Ebrahimi Shahmabadi H., Akbarzadeh A. In Vitro Assessment of Magnetic Liposomal Paclitaxel Nanoparticles as a Potential Carrier for the Treatment of Ovarian Cancer. // Adv Pharm Bull — 2021 — Vol11 — N2 — p.267-273; PMID:33880348
- Zhang H., Kong WM. . // Zhonghua Fu Chan Ke Za Zhi — 2021 — Vol56 — N3 — p.226-229; PMID:33874717
- Jorge S., Goff BA., Gray HJ., Enquobahrie DA., Doll KM. Characterization of the Early Years of Bevacizumab Use for First-Line Treatment of Ovarian Cancer in the United States. // JCO Oncol Pract — 2021 — Vol — NNULL — p.OP2000918; PMID:33844592
- Lierman S., Tolpe A., De Croo I., De Gheselle S., Defreyne J., Baetens M., Dheedene A., Colman R., Menten B., T’Sjoen G., De Sutter P., Tilleman K. Low feasibility of in vitro matured oocytes originating from cumulus complexes found during ovarian tissue preparation at the moment of gender confirmation surgery and during testosterone treatment for fertility preservation in transgender men. // Fertil Steril — 2021 — Vol — NNULL — p.; PMID:33832736
- Hawarden A., Russell B., Gee ME., Skayali F., Clamp A., Crosbie EJ., Edmondson RJ. Factors determining ultra-short-term survival and the commencement of active treatment in high-grade serous ovarian cancer: a case comparison study. // BMC Cancer — 2021 — Vol21 — N1 — p.378; PMID:33832445
- Abd Ghani MF., Othman R., Nordin N. Molecular Docking Study of Naturally Derived Flavonoids with Antiapoptotic BCL-2 and BCL-XL Proteins toward Ovarian Cancer Treatment. // J Pharm Bioallied Sci — 2020 — Vol12 — NSuppl 2 — p.S676-S680; PMID:33828360
- de Andrade ABP., Morais MCC., Rangel PSC., Oliveira MEF., Souza-Fabjan JMG., Fonseca JF. Effect of eCG in a short-term synchronization treatment on ovarian status, estrus synchrony, and ovulation in dairy goats managed under tropical conditions. // Trop Anim Health Prod — 2021 — Vol53 — N2 — p.246; PMID:33821404
- Chase DM., Neighbors J., Perhanidis J., Monk BJ. Gastrointestinal symptoms and diagnosis preceding ovarian cancer diagnosis: Effects on treatment allocation and potential diagnostic delay. // Gynecol Oncol — 2021 — Vol — NNULL — p.; PMID:33814195
- Mallen A., Todd S., Robertson SE., Kim J., Sehovic M., Wenham RM., Extermann M., Chon HS. Impact of age, comorbidity, and treatment characteristics on survival in older women with advanced high grade epithelial ovarian cancer. // Gynecol Oncol — 2021 — Vol — NNULL — p.; PMID:33812698
Киста на яичнике – что это такое, и в чем причины возникновения образования
Один из частых видов женских опухолей (до 25%) – киста яичников является условным обозначением любого варианта кистозно-опухолевидного образования в области придатков матки: среди большого количества вариантов кистозных опухолей важно не пропустить и вовремя выявить пограничную кистому и злокачественный тип новообразования

Киста яичника – это полость в железистом органе, заполненная жидкостью, которая опасна жизнеугрожающими осложнениями и непредсказуемыми последствиями. Для заболевания нет возрастных ограничений – патологию в придатках матки можно выявить у новорожденной девочки и у женщин в постменопаузе.
Вопрос эксперту
Что такое кистозное изменение правого или левого яичника?
Обнаружение нескольких небольших кист в любом из яичников указывает на поликистоз или кистозное изменение. Эту проблему можно эффективно лечить с помощью лекарственных препаратов: при правильном подходе к терапии можно предотвратить формирование кистомы.
Причины возникновения кистозных новообразований обусловлены гормональными расстройствами и наследственной предрасположенностью. Выделяют следующие предрасполагающие факторы заболевания:
- Менструальные нарушения в любом возрасте (ранний приход критических дней у девочки-подростка, позднее прекращение месячных, нерегулярность цикла, скудные или обильные месячные, короткий промежуток между менструациями);
- Сознательный отказ от деторождения или длительное бесплодие;
- Наличие гинекологических заболеваний доброкачественного характера (миома матки, эндометриоидная болезнь, гиперплазия эндометрия, полип матки);
- Любые виды операций на детородных органах;
- Частые медицинские аборты;
- Болезни печени;
- Общая эндокринная патология (заболевания щитовидных желез, надпочечников, гипофиза);
- Хронический и длительный стресс (психосоматика – стресс провоцирует заболевание);
- Частые воспалительные заболевания половых органов;
- Тяжело протекающие детские инфекции;
- Аутоиммунные нарушения;
- Длительное негативное влияние неблагоприятных экологических факторов.
Как часто вы посещаете гинеколога?
Раз в год
35.44%
Уже не помню, когда была в последний раз
27.16%
Раз в полгода
14.83%
Каждые 2-3 месяца или чаще
8.95%
Раз в 3 года и реже
7.41%
Раз в 2 года
6.22%
Проголосовало: 108393
Далеко не всегда врач может объяснить, отчего появляется киста на яичнике: обнаруженная опухоль в придатках матки – это существенный повод для проведения полного обследования. Важными признаками, которые будут определять тактику лечения, являются размеры новообразования, вид кистозной полости и имеющиеся симптомы заболевания.






























