Народные рецепты от пародонтоза
Средства от народа не смогут излечить пародонтоз, но существенно повлияют на положительную динамику в лечении.
Средства для полоскания
- Применение чесночного настоя. Необходимо почистить, раздавить чеснок и залить его кипятком. Дать средству время настояться. После полоскать рот 2 раза в день. Эффект от лечения станет заметнее, если во время полоскания держать раствор во рту по 5 минут. Можно просто тереть десны долькой чеснока.
- Полоскание раствором морской соли. Дозировка: чайная ложка на стакан теплой воды. Полоскание проводить несколькими заходами по 30 секунд.
- Применение настоя календулы. Средством нужно полоскать рот 7 раз в день. Чтобы его приготовить нужно взять 2 столовые ложки травы, залить 0,5 литра кипятка и настоять 30 минут.
- Полоскание настоем чайного гриба. Средство очень богато витамином С, который в свою очередь восстанавливает кровообращение в мягких тканях.
- Полоскание отваром листьев брусники. Листья (чайную ложку) залить стаканом кипятка, прокипятить, охладить и процедить. Полоскать не меньше чем 5 раз в день.
- Полоскание водой и соком каланхоэ. Из листьев растения выжать сок, разбавить его водой и провести процедуру.
- Использование перекиси водорода. Препарат пьют, им растирают десны и полоскают ротовую полость. Для внутреннего приема: в 50 мл воды добавляют три капли средства. Пьют три раза в день. Курс: 10 дней. Затем лечение можно повторить. Главное замечание: употреблять перекись нужно на голодный желудок. Для растирания: в средстве смачивают тампон и начинают хорошо втирать лекарство в десны. Для полоскания: в 100 мл чистой воды растворяют две таблетки гидроперита.
Рецепты от природы
- Применение пчелиных продуктов. Прополис и мед помогают восстановить кровоснабжение и снимают раздражение. Продукты обладают бактерицидным и ранозаживляющим действием. В лечении применяется настойка прополиса. Аптечный препарат (10%) в количестве 25 капель разбавляется в стакане воды. Этим раствором полоскают рот после каждого приема еды. Настойку в чистом виде можно применять внутрь, но только после совета с пародонтологом. Из настойки прополиса (только 4%) можно делать компрессы на больное место. Кроме прополиса, в десны можно втирать мед. Лечение продолжается до выздоровления.
- Применение аира. Для этого аир натирают на терке, смешивают с зубной пастой и чистят зубы. Метод лечения помогает укрепить десны.
- Применение квасцов. Одну чайную ложку квасцов смешать с ¼ ложкой соли, добавить несколько капель горчичного масла. Способ применения: массировать составом десны в течение нескольких минут.
- Пить клюквенный и лимонный сок. Средства стимулируют иммунитет, борется с бактериями, оказывают противовоспалительный эффект. Пить нужно по 100 мл любого сока каждый день. Если смешать лимонный сок с солью экстра, то получится лечебная паста, которой нужно чистить зубы.
- Употреблять только зеленый чай (от черного отказаться). Зеленые листья оздоравливают весь организм, тем самым помогают ему быстрее справиться с пародонтозом.

Прием врача пародонтолога
Прием осуществляется в поликлинике по предварительной записи. При этом необходимо учитывать возраст пациента, так как существует пародонтолог для детского возраста и для взрослого. В экстренных случаях возможен внеплановый прием хирургом-пародонтологом. В первую очередь пародонтолог выслушивает ваши субъективные жалобы, затем переходит к осмотру и диагностике заболевания. При необходимости проводится дополнительные лабораторные методы диагностики (анализы, бактериологические исследования). Когда диагноз установлен, врач предлагает возможные варианты лечения и последующую профилактику для предотвращения возникновения заболевания.
Опрос пациента
Опрос заключается в беседе врача-пародонтолога и пациента для выяснения жалоб и возможных причин развития болезни.
При опросе необходимо и важно отвечать правдиво, так как это напрямую влияет на постановку диагноза, а, следовательно, и на выбор метода лечения.
- сопутствующие заболевания пациента;
- ранее перенесенные болезни;
- проводились ли раньше какие-либо манипуляции в полости рта;
- вредные привычки;
- возможные аллергические реакции.
После завершения опроса врач должен осмотреть полость рта и назначить необходимое обследование.
Осмотр, назначение анализов и направление на рентген
Процедура осмотра необходима для выявления области поражения и видимых патологических изменений, состоит из:
- оценки состояния кожных покровов и слизистых лица;
- оценки состояния челюсти и прикуса;
- пальпации поднижнечелюстных лимфатических узлов для проверки наличия воспалительного процесса;
- осмотр ротовой полости, а именно десен, внутренней поверхности щек, верхнего и нижнего небо, языка, зева.
Проводится осмотр при помощи шпателя и специальных зеркал. После того как пародонтолог провел опрос, выполнил осмотр, он может поставить предварительный диагноз. Для его подтверждения необходимо провести дополнительные исследования, такие как рентген. Выбор аппарата для снимка остается за стоматологом. Снимок может быть сделан дентальным рентгеном, панорамным рентгеновским аппаратом или компьютерным томографом. Последний широко используется в современной практике.
Если же пациенту необходима имплантация зубов или хирургическое вмешательство, перед планированием операции, он обязан сдать все необходимые анализы. Такие, как анализ крови и мочи, бактериоскопия, биопсия, цитологические и серологические исследования, и самое главное — диагностирование аллергических реакций на препараты и вживляемые материалы. Не забывайте следовать советам врача, который вас лечит! Это делает лечение быстрым и эффективным.
https://youtube.com/watch?v=W8sMn9jhm4Q
ИТАК, ТЕХНИКА «ПРИСОЕДИНЕНИЯ». В ней пять элементов – формула «Пяти П».
2. ПРИНЯТЬ ПАЦИЕНТА, Т.Е. ОЗВУЧИТЬ ПРИЧИНУ ЕГО БЕСПОКОЙСТВА.
По поводу нашего случая с молодым врачом так и скажите: «ВЫ ХОТИТЕ УБЕДИТЬСЯ В ТОМ, ЧТО Я ПРОВЕДУ КАЧЕСТВЕННО ЛЕЧЕНИЕ». Или: «Вы хотите узнать, достаточный ли у меня опыт работы». Весьма вероятно, что пациент подтвердит ваши слова, считайте, заложен еще один кирпичик в позитивные отношения с получателем услуг.
3. ПООЩРИТЬ ПАЦИЕНТА ЗА ЕГО НАМЕРЕНИЯ.
Так и скажите: «ВЫ ПРАВИЛЬНО ПОСТУПАЕТЕ, ИНТЕРЕСУЯСЬ ОПЫТОМ МОЛОДОГО СТОМАТОЛОГА, ЭТО ЕСТЕСТВЕННО». Или скажите так: «Хорошо, что вы задали свой вопрос. Я буду пояснять вам все, что касается качества лечения». В позитивные отношения с пациентом уложен еще один кирпичик.
4. ПРИВЕСТИ ДОВОДЫ, ДОКАЗЫВАЮЩИЕ ВАШ ПРОФЕССИОНАЛИЗМ.
Это наиболее ответственный аспект «Присоединения». Аргументы могут отсутствовать, быть сомнительными или сильными.
Некоторые стоматологи, комментировавшие публикацию о молодых коллегах, уходили от аргументов, что является ошибкой.
Примеры:
«Если у Вас есть свободное время, можем подождать, пока доктор состарится?». – Игривый вопрос не доказывает мастерство стоматолога и может вызвать у пациента сомнение в вашей серьезности.
«Когда говорили, что молодая (начала работать врачом в 21 год), спрашивала: «Как по-вашему, сколько мне лет?». Ответы были плюс-минус 2 года, но я всегда прибавляла 10 к своему реальному возрасту и, воспользовавшись замешательством и удивлением, спрашивала: «Ну что? Работаем?». Как правило, обстановка разряжалась, и пациенты переходили в разряд постоянных. Этот приём я использовала аж до 35 лет, после уже мало кто «сомневался». – Назвать якобы солидный возраст и поставить пациента в тупик, не значит доказать наличие опыта работы.
Слабые аргументы — не имеют доказательной силы.
Примеры:
«Я, когда начинал работать, на такие вопросы отвечал просто: «Зато я классно делаю». – Это субъективная оценка, пациенту не ясно на чем она основана, вряд пациент поверит ей или станет вслух сомневаться. Отсутствие реакции пациента не следует принимать за знак согласия с вашим доводом.
«Я говорю: у нас единые для всех врачей клиники клинические протоколы и стандарты лечения, основанные на доказательной базе». – Может это так, но следуете ли вы указанным нормативам, как пациент может убедиться в этом? Всегда ли соблюдение протоколов и стандартов свидетельствует о профессионализме стоматолога? Мастер своего дела руководствуется пониманием клинической ситуации и нередко находит нестандартные ее решения, отступает от протоколов и стандартов.
«Надо называть факты, например, говорю: «Я закончила университет в таком-то году». – Ну и что, а где гарантия того, что вы в итоге стали профессионалом? Такое же слабое доказательство профессионального опыта следует из того, что вы заявите об окончании института с красным дипломом, о работе в одной клинике в течение нескольких лет, о том, что врачи проходят тщательный отбор при приеме в клинику.
Сильные аргументы – впечатляют.
На семинарах-тренингах для врачей, ассистентов и администраторов предлагается 10 вариантов таких аргументов и обозначаются условия их использования (достоверность, доказательность, помощь менеджмента).
5. ПРОЯВИТЬ СВОЙ ПРОФЕССИОНАЛИЗМ «ЗДЕСЬ И СЕЙЧАС, Т.Е. В ПРОЦЕССЕ КОНСУЛЬТАЦИИ И ЛЕЧЕНИЯ.
Это идеальный способ преодоления сомнений получателей услуг в профессиональных достоинствах стоматолога любой специализации — как молодого, так и опытного.
Участникам занятий разъясняется технология перевода внутреннего (имплицитного) представления стоматолога о своем профессионализме — в очевидные клиенту, осязаемые, доказательные (эксплицитные) факторы мастерства. Эта уникальная технология разработана нами для стоматологов, которые заинтересованы в профессиональном росте, установлении прочных отношений с получателями услуг и повышении доходов. Технология перевода имплицитного мастерства – в эксплицитное мастерство применяется на каждом этапе консультации (выслушивание жалоб и пожеланий пациента, обсуждение данных анкеты о здоровье, предложение сделать снимки и объяснение их содержания, составление рекомендуемого и выполняемого планов лечения, согласование стоимости лечения, объяснение гарантий). РЕЗУЛЬТАТ КОНСУЛЬТАЦИИ – СТОМАТОЛОГ, КОТОРОМУ МОЖНО ДОВЕРЯТЬ. Эта идея вынесена в заглавие моего семинара-тренинга.
Просмотрено 6303 Нравится 7
Как вырасти большим и не знать про кариес
Взрослым людям сложно в это поверить, но сегодня ребенок может вырасти, не зная что такое кариес, зубная боль и не испытывать страха перед визитом к стоматологу.
Для этого родители вместе с ребенком должны прийти к детскому стоматологу сразу после прорезывания первых молочных зубов, а не ждать, когда ребенок пожалуется на зубную боль.
На первой консультации врач оценит наличие у ребенка факторов риска появления кариеса, даст рекомендации по гигиене полости рта и питанию. Визиты к детскому стоматологу должны стать регулярными. Как часто нужно приходить на осмотр и профилактику определит врач.
Если соблюдать все рекомендации и не пропускать назначенные доктором профилактические визиты, то даже в случае обнаружения кариеса, это будет только начальная стадия, которая часто лечится без сверления зубов.
В отличии от лечения запущенного кариеса, регулярные визиты к врачу и профилактические процедуры не занимают много времени, абсолютно безболезненны, берегут нервы и экономят деньги.
Именно так построена работа с маленькими пациентами в клинике ИдеалДент. О том как организован детской прием в нашей клинике читайте в статье «Профилактика и лечение без волнения и боли».
Надеемся, что на этих примерах мы смогли объяснить, что комплексный подход к лечению – это забота о здоровье пациентов, а не навязывание дополнительных услуг.
Массаж и питание
Основное действие массажа – это усилить лимфоток, ускорить заживление и повысить обмен. Процедуру делают с помощью вибромассажера или просто пальцем. Палец необходимо обмотать бинтом, который предварительно смочить в вазелине. Далее необходимо делать вертикальные поглаживающие действия или выполнять круговые движения. Каждой челюсти необходимо уделить по 10 минут. При этом нельзя забывать о массаже внутренней и внешней стороны.
Не лишним будет подумать о питании. То есть для эффективного избавления от пародонтоза необходимо придерживаться диеты. Больной должен обязательно следить и контролировать процесс употребления пищи. Ему не должно быть все равно, что сейчас он съест или выпьет. Обязательно нужно убрать газированные напитки, кофе, черный чай, печенье, чипсы и любые продукты с красителями. Нельзя забывать, что из-за сладкого образовывается налет, стимулируется размножение бактерий, что со временем приведет к разрушению зубов.
Кроме этого, нужно кушать больше твердых овощей фруктов. Вся еда должна быть тщательно пережевана. В рационе должны быть молочные и кисломолочные продукты, чтобы укрепить зубы и кости. Вышеуказанным рекомендациям нужно придерживаться около полугода.
До ушей, или на сколько хватит денег
Во многом качественный уход за полостью рта стал ещё одним социальным инструментом неравенства
«Идеальная американская улыбка» восходит ко временам Великой депрессии, когда молодой дантист Чарльз Пинкус обратил внимание на зубы актеров в тогда ещё только набирающих популярность голливудских фильмах. У большинства из них, например, у Джеймса Дина, выросшего на ферме и имевшего топорные зубные протезы, а также у Джуди Гарланд и актрисы-малышки Ширли Темпл зубы были далеко не идеальные
И Чарльз начал работать с киностудиями. Для Ширли Темпл, потерявшей в силу возраста свои молочные зубы, он создал маленькие виниры, чтобы мы могли видеть ее такой, какой ее видел весь мир: с идеальным набором жемчужных зубов .
Белоснежные улыбки красивых людей с голубых экранов настолько поражали простых американцев, что через некоторое время в США возник феномен «Социальной шестерки» («Social Six») , распространившийся вскоре и на другие страны. «Социальной шестеркой» называли передние шесть зубов верхней челюсти, наиболее заметные при улыбке и разговоре. Для этих зубов отдельно изготавливали виниры, их могли попросить отбелить и полечить отдельно от других зубов на челюсти человека, у которого не было денег на уход за остальными зубами.
Симптоматика
Заметим, что пародонтоз очень редкая болезнь. Она в основном поражает пожилых людей.
Болезнь наступает незаметно. Зачастую пациенты не подозревают о ее наличии. Заболевание обнаруживает стоматолог при осмотре. Но симптоматика пародонтоза схожа с другими заболеваниями.
Больной часто жалуется на:
- Кровоточивость десен.
- Неприятный запах.
- Привкус крови.
- Припухлость мягких тканей.
- Реакцию на раздражающие факторы (горячее, холодное, кислое).
- Болезненность десен.
- Выделение гноя.
- Подвижность зубов.
То, что у больного пародонтоз, правильно сможет определить только врач.
В основном пациент приходит к стоматологу с целью убрать зубной камень. Профессиональная чистка помогает открыть плачевную картину, у пациента пародонтоз определенной стадии.
Для вырисовки четкой картины болезни, разберем стадии, характеристику и симптоматику пародонтоза.

Стадии
-
Начальная стадия
Характеристика: начался воспалительный процесс.
Симптоматика: симптомы отсутствуют. -
Первая стадия
Характеристика: незначительное опущение десны, зубы в лунках стоят крепко, на рентгене видны изменения костной ткани.
Симптоматика: появляется незначительная чувствительность зубов (явление не частое). -
Вторая стадияХарактеристика: шейки зубов обнажаются; появляются межзубные щели; визуально заметен переход эмали зуба у корня в твердое вещество; рентгеновский снимок показывает, что альвеолярный отросток сильно изменен.
Симптоматика: беспокоит сильная чувствительность зубов. -
Третья стадияХарактеристика: корни зубов у края десны выступили больше, чем наполовину; щели между зудов сильно расширены; зубы сильно подвижны; рентген показывает снижение альвеолярного участка на сантиметр.
Симптоматика: болезненные ощущения во время приема холодной, горячей и кислой еды. -
Четвертая стадияХарактеристика: корни видны на 2/3 длины, рентген показывает, что они держатся только верхушкой.
Симптоматика: сильная подвижность, которая мешает разговору и приему пищи.
Почему вы боитесь зубного врача?
Сухие статистические данные свидетельствуют: 30% людей во всем мире (в России таких насчитывается до 60%, и это только взрослых) боятся лечения зубов. В их числе те, кто вообще никогда не был на приеме у стоматолога. Но гораздо больше индивидов, пачками пьющих обезболивающие препараты, чтобы только не попасть в кабинет со «страшным» креслом, инструментами, неприятными запахами и «ужасно» жужжащей бормашиной. Отсюда можно сделать вывод: их страх связан не с боязнью боли, а с неким психологическим дискомфортом.
Многие из таких «отказников» обращаются за помощью к народным целителям, шаманам и т. д., чем усугубляют проблему и теряют время. В конце концов, им все-таки приходится сдаваться врачу, но о лечении уже речь и не идет – только удаление.
Существует интересная фраза Хью Уилера, британского писателя, гласящая: расставание с мужем или любовником – это большая утрата, но потерю зуба стоит расценивать, как катастрофу.
Что же может стать причиной одонтофобии? Таких факторов несколько:
- детская психотравма, нанесенная стоматологом в первый визит к нему;
- неправильное поведение родителей, которые пугают своего нежелающего чистить зубы ребенка врачом и неприятным манипуляциям со стороны последнего;
- негативный опыт лечения зубов – у взрослого человека может развиться патологический страх, если неудачная манипуляция специалиста вызвала сильную боль, кровотечение и т. д.;
- нарушение развития плода или генетическая патология, нарушившая метаболизм серотонина и норадреналина. Такая дестабилизация важных гормонов приводит к появлению тревожности, снижению болевого порога;
- наличие ятрофобии – страха любого медицинского персонала;
- некоторые психические расстройства;
- излишняя впечатлительность от рассказов знакомых после визита к стоматологу, сцен из кинофильмов (особенно хорроров).
Еще один предполагаемый фактор: высокая стоимость медицинских услуг. В его пользу свидетельствует такой: в развитых странах идти к стоматологу боится больше людей, а там прайс на услуги стоматолога весьма впечатляет.
Классификация
Опираясь на поводы возникновения дентофобии, можно условно поделить ее на такие формы:
- врожденная – редкий вариант. Это пройдет уже после первого посещения зубного врача или усилится, если он допустит ошибку;
- приобретенная – самая распространенная, основанная на негативном опыте. После полученных неприятных ощущений человек будет как можно дольше оттягивать момент повторного попадания в кабинет к стоматологу;
- воображаемая. Тут в дело вступает бурное воображение, которое подкрепляется чужим мнением и фильмами. То есть, человек никогда не бывавший у дантиста, боится его превентивно. Такой страх, как и в случае с врожденным, пройдет после первого лечения, если все будет хорошо, и укрепится в противоположном случае.
Учитывая вышесказанное, целесообразно отметить: правильный, бережный подход детского стоматолога к своим маленьким пациентам дает гарантию, что у них одонтофобии не будет.
После лечения у стоматолога болит зуб, онемение губы, щеки, боль в лице и челюсти, после лечения пульпита болит зуб
Невралгия тройничного нерва периферического типа и луночковая плексалгия. Это повреждение или раздражение тройничного нерва и его ветвей – луночковых сплетений. Характерные симптомы: боль, часто жжение в челюсти и губе, боль с жгучим компонентом, возможно онемение губы, щеки, неприятные ощущения при касании. Эти симптомы могут усиливаться при накусывании. Боли могут быть монотонными, изматывающими, приводить к нервному истощению, депрессии. Чаще мы встречаем 3 варианта проблемы.
Вариант 1. Давление пломбировочным материалом на ветви тройничного нерва, луночковые нервные сплетения. После удаления нерва и пломбировки каналов болит зуб.
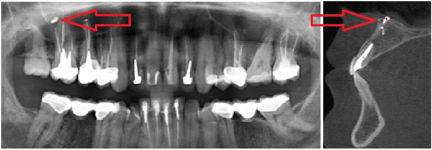
Стрелками показаны фрагменты пломбировочного материала (вид спереди и сбоку), который при пломбировании канала выпал за пределы зуба и «упёрся» в область залегания ветви тройничного нерва. У пациента долго болел зуб после лечения пульпита, затем онемела верхняя губа и часть щеки.
Вариант 2. Киста корня зуба раздражает ветвь тройничного нерва. Боль и онемение губы и щеки, боль при накусывании.
Стрелками показаны кисты корней зубов (вид спереди). Кисты в данном случае представляют собой замкнутые очаги инфекционного воспаления. Киста со временем набухает и создает давление на ветви тройничного нерва, отсюда онемение лица и боль. Осложнение после лечения пульпита.
Вариант 3. Онемение после удаления зуба. При повреждении тройничного нерва и его сплетений после удаления зуба может онеметь щека, губа, часть десны. Чем более извиты и деформированы корни зуба – тем выше риск повредить тройничный нерв при его удалении.
Как проверить состояние тройничного нерва. Мы предлагаем в таких случаях три способа диагностики:
1.Электромиография лица. Это исследование параметров проведения нервных импульсов по системе тройничного и лицевого нервов. В случае повреждения нерва мы регистрируем снижение его способности к проведению нервных импульсов. Подробнее про электромиографию лица
2.Рентгеновские исследования. На обычных рентгенограммах и панорамных снимках не всегда видна истинная картина болезни. Мы рекомендуем конусно-лучевую компьютерную томографию с функцией защиты от дефектов изображения от пломбировочного материала и протезов.
3.Осмотр врачом. Врач невролог видит несколько иную картину, чем стоматолог. Нам легче оценить функции нервов и мышц лица и установить источник невропатической боли. Часто именно осмотр дает больше информации, чем электромиография и рентгеновские методы.
В данном случае понимание полной картины причин проблемы – это путь к выбору оптимального лечения. Обычно это курс неврологического лечения в сочетании с решением стоматологической проблемы. Нам доводится решать проблемы 10-15-летней давности.
Источники
1 — «How can a child die of toothache in the US?» // The Guardian. — 13 Jun 2017.
2 — «Why Dentistry Is Separate From Medicine.The divide sometimes has devastating consequences» // The Atlantic. — 9 Mar 2017.
3 — Paul Revere Heritage Project
4 — Patricia Samford — «The Baltimore College of Dental Surgery — The World’s First Dental College». — 4 Oct 2013.
5 — «William J. Gies and the Gies Report». — The ADEAGies Foundation.
6 — «Surgeon General’s Report on Oral Health in America». — Jul 2000.
7 — Tammi O. Byrd, RDH.
8 — Timothy C. Gogan, DDS — «Dr. Pincus, Shirley Temple, and the “Hollywood Smile”». — 1986.
9 — Dr. William Harper`s desk — «What Are The “Social Six” Teeth?».
10 — McCarthy M. — «ACA and the Triple Aim: Musings of a Health Care Actuary». — 2015.
— На что нужно обращать внимание, если требуется устанавливать коронку или мост?
— При постановке коронки, то есть керамического колпачка на зуб, который был разрушен, нужно обращать внимание на вкладку — основу под коронку. Функция вкладки заключается в восстановлении зуба, на который потом одевается коронка
Вкладка может быть непрямой и прямой. Непрямая вкладка стоит значительно дороже, и, поставив прямую вкладку, с вас могут взять деньги как за непрямую. Нужно понимать, что непрямая вкладка изготавливается в лаборатории в течение нескольких дней после снятия слепка с зуба. А вот прямую могут поставить сразу на приёме в том случае, если от разрушенного зуба сохранилось хотя бы три стенки из четырёх, выглядит она как винтик.
Как перестать бояться стоматолога
Борьба со страхом визита в стоматологическую клинику одновременно проста и сложна. Проста, потому что, выявив основную причину страха, перестать бояться стоматолога легче в два раза. Сложна, потому что требует волевого усилия и работы над собой со стороны самого человека.
Так, все пациенты нашей Стоматологии на Щелковской (недалеко от м Щелковская) перед началом лечения всегда в курсе того, что и как им будут делать. Стоматолог рассказывает об обезболивающих препаратах, о технологиях, которые не травмируют зубы, как это было раньше, о пломбировочных материалах, которые держатся десятки лет при соответствующем уходе.
Наши пациенты всегда знают о стоимости лечения и обсуждают с врачом возможности рассрочки платежа. В наших кабинетах играет легкая приятная музыка, вы совершенно успокоитесь и лечение пройдет без осложнений, страха и боли.
Сделайте первый шаг на пути к победе над дентофобией, запишитесь на прием к стоматологу по телефону 8 (495) 033-00-63 или через форму записи онлайн.
Чтобы перестать бояться стоматолога, необходимо ознакомиться с состоянием современной стоматологической науки. Это очень действенный прием – узнать досконально то, что вас пугает. Тогда визит к врачу перестанет казаться чем-то угрожающим и страшным.
Во-первых, ознакомьтесь со средствами, которые применяются сегодня для местной анестезии стоматологами. Они начинают действовать практически сразу и абсолютно притупляют болевые ощущения. Даже если проходит хирургическое вмешательство, вы этого не почувствуете.
Во-вторых, значительно расширился спектр лекарственных средств и материалов, которые сегодня используются в стоматологии. Сегодня абсолютно безопасно можно снять любой болевой эффект от лечения зубов и десен – врач сам назначит нужный вам препарат. Для пломбирования и лечения зубов используются современные материалы, которые не грубые, как прежние, а безопасные и комфортные.
Наибольший страх перед стоматологом у пациентов вызывают процедуры, проводящиеся в полости зуба. Именно они ассоциируются в сознании людей с ужасным звуком бормашины, с острыми и неудобными инструментами. На самом деле, сегодня в стоматологии все обстоит совсем по-другому. Бормашины уже не такие шумные, а инструменты постоянно совершенствуются и модернизируются. Отбросьте от себя стереотипы десятилетней давности и смело записывайтесь на прием к стоматологу.
— Если всё-таки приходится удалять нерв, на что нужно обращать внимание, чтобы не быть обманутым на этом этапе?
— В первую очередь, как я уже говорил, нужно помнить, что количество каналов в зубах вариабельно. Как правило, в зубах бывает от одного до четырёх каналов. В зубах мудрости — до пяти. Нередки случаи, когда пациент платит за прочистку и пломбировку несуществующего канала. Вы никогда не узнаете, сколько каналов вам пломбировали, и совпало ли их количество с тем, которое указано в вашем чеке, если до начала манипуляции и по её завершению врач не продемонстрировал вам рентгеновский снимок. Поэтому обязательно просите врача заранее сказать, сколько каналов в больном зубе и попросите показать их на рентгеновском снимке.





























