Уход
Наиболее целесообразная тактика лечения полипа эндометрия зависит от:
- возраста пациентки;
- жалоб;
- желания планировать беременность;
- сопутствующих заболеваний;
- факторов риска развития злокачественного новообразования эндометрия;
- размеров полипа.
Если у женщины детородного возраста, не имеющей высокого фактора риска развития злокачественных новообразований эндометрия и в настоящее время не планирующей беременности, нет симптомов и полипы эндометрия <10 мм, то можно выбрать тактику наблюдения заболевания. Исследования показывают, что небольшие полипы эндометрия могут спонтанно исчезнуть в течение одного года.
Хирургическое удаление полипа даже при отсутствии жалоб рекомендуется, если:
- полипы имеют размер > 10 мм;
- в анамнезе пациентки: предшествующие выкидыши или неудачные процедуры медицинской инсеминации, постменопауза, кровянистые выделения;
- есть заболевания, способствующие развитию злокачественных новообразований эндометрия: синдром поликистозных яичников, избыточная масса тела или ожирение, сахарный диабет, отсутствие беременности, ранние менструации в раннем возрасте, поздний климакс, применение тамоксифена при лечении рака молочной железы, синдрома Линча и другие.
Есть несколько вариантов – выскабливание матки, гистероскопия и гистерорезектоскопия.
Выскабливание матки
До развития хирургических и ультразвуковых методов расширение и абразию шейки матки, обычно называемые очищением матки, широко применялись в диагностических и терапевтических целях в случае аномальных маточных кровотечений.
Процедура проходит под анестезией, шейка матки расширяется или раскрывается, затем гинеколог вводит в полость матки специальные инструменты – кюретки и производит отслоение внутреннего слоя матки или абразию полости матки. Во время процедуры врач не может визуализировать полость матки, а полагается на осязание – с помощью инструмента он может прощупать стенки и образования матки.
Эта процедура используется и сегодня для удаления полипов эндометрия, например, в случае острого кровотечения. Как уже было сказано, процедура проводится вслепую и исследования показывают, что в 50-85% случаев полип может быть удален не полностью, например, он находится на ножке и был подвижен во время процедуры, ножка полипа широкая или удалена лишь частично.
Гистероскопия или гистерорезектоскопия
Удаление полипов эндометрия под визуальным контролем возможно с помощью гистероскопии или гистерорезектоскопии. Во время обеих процедур можно осмотреть полость матки и точно визуализировать или полностью удалить эндометрий, где расположены образования.
Гистероскопия (в переводе с греческого hystero — означает «матка»; — scopia означает «смотреть») использует специальные инструменты диаметром несколько миллиметров. Гистероскоп вводят в матку через шейку матки, иногда расширение шейки матки не требуется и процедура может проводиться без анестезии. Если требуется анестезия, гистероскопию проводят под временной анестезией.
Гистероскопия как диагностический метод используется для дифференциации того, что находится в полости матки, а как лечебный метод позволяет удалить небольшие полипы эндометрия.
Основная цель гистерорезектоскопии или резекции – удаление из полости матки как полипов эндометрия, так и мелких миоматозных узлов, расположенных близко к полости матки ниже эндометрия и деформирующих полость матки. Диаметр инструмента больше 10 мм. Его вводят в полость матки через шейку матки, предварительно увеличенную или расширенную, поэтому операция проходит под наркозом.
Зная данные пациентки, наиболее подходящим видом оперативного лечения будет амбулаторный гинеколог или врач, ежедневно выполняющий эти процедуры.
Если полип удалить, он может появиться снова. Иногда следует рассмотреть вопрос о введении гормональной, содержащей прогестерон, внутриматочной системы в полость матки для предотвращения аномального утолщения эндометрия.
Полипы матки
Матка — это полый орган женской репродуктивной системы, внутреннюю поверхность которого выстилает слизистая оболочка — эндометрий. Эндометрий обладает специфическими физиологическими и функциональными свойствами. Иногда отмечается патологическое разрастание железистых структур эндометрия – полип тела матки, которое чаще всего не относят к онкологическим состояниям.

Полипы маточной полости могут иметь различную форму, размер и место локализации, что напрямую определяет влияние такого новообразования на репродуктивное и сексуальное здоровье женщины. Так как любые полипозные структуры склонны к дальнейшему росту, медики рекомендуют избавляться от полипов тела матки сразу же после обнаружения.
Причины появления полипов тела матки
Еще совсем недавно гинекологи считали полипы следствием перенесенных беременности и родов, однако в последние годы все чаще полипозные новообразования диагностируются у подростков и молодых нерожавших девушек, а также встречаются у женщин климактерического возраста.
По результатам исследований было установлено, что основная причина, провоцирующая патологическое разрастание эндометрия — гормональные расстройства. Это объясняет частое проявление заболевания в периоды беременности, лактации и полового созревания. Кроме того, полипы могут стать следствием эрозии, травмирования эндометрия в процессе оперативного вмешательства, а также осложнения воспалительных процессов слизистой оболочки.
Симптомы полипов в матке
Единичный полип маточной полости, как и множественный полипоз, может длительное время не проявляться, протекая совершенно бессимптомно. Часто пациентка узнает о развитии подобной структуры, только когда полип травмируется или отрывается. Внимательное отношение к состоянию собственного здоровья поможет определить полипы по следующим симптомам:
- Влагалищное кровотечение или необильные мажущие выделения крови через несколько дней после менструации;
- Ощущение дискомфорта или даже неинтенсивная болезненность во время полового акта;
- Тянущие длительно сохраняющиеся боли внизу живота;
- Нарушения регулярности менструального цикла.
Заметив любой признак из указанных выше симптомов, необходимо немедленно обратиться за профессиональной медицинской помощью.
Диагностика и лечение полипов тела матки
Выделяют несколько способов диагностирования полипа тела матки:
- УЗИ, подтвержденное кольпоскопией;
- Гистероскопия – визуальный осмотр маточной полости с использованием специального оптического оборудования;
- Рентгенологическое исследование матки – метрография.
После установления наличия полипозной структуры специалист определяет предпочтительный способ удаления новообразования. Чаще всего применяется методика полипэктомии, которая заключается в откручивании тела полипа и прижигании основания воздействием электрического тока. Существует и менее травматичный способ — удаление полипов методом радиоволновой хирургии. В нашей клинике используется новый радионож Фотек.
При множественных полипах практикуется выскабливание полости матки. Полипы, удаленные в процессе вмешательства и окружающие их ткани направляются на гистологическое исследование (исследование на рак). Если анализ устанавливает присутствие атипичных (переродившихся) клеток, врач предполагает возможный онкологический процесс.
Если вы заметили у себя признаки наличия патологии, то обратитесь в медцентр Диана. Здесь диагностику и лечение полипа тела матки можно произвести с применением новейшего оборудования экспертного класса под профессиональным контролем высококвалифицированных специалистов.
Причины образования полипов влагалища
Выделяют несколько причин, провоцирующих рост полипов:
- Вирус папилломы человека. Папилломавирус имеет более ста разновидностей, каждый из которых формирует приоритетное место локализации. Такой вид папилломы, как остроконечные кондиломы, достаточно часто поражает слизистые ткани половых органов, в том числе и влагалища. Обычно они визуально напоминают дольчатую цветную капусту, имея при этом красновато-розовый цвет. Полипы, вызванные вирусом папилломы человека, как правило, проявляют множественное разрастание и локализуются близко к выходу из влагалища.
- Механические повреждения слизистой оболочки. Травмы влагалища во время медицинских манипуляций и родов, сопровождающихся разрывами слизистой оболочки, неизбежно приводят к формированию рубца. Со временем на участке грубой соединительной ткани может отмечаться появление отдельных полипов.
- Хламидиоз и другие инфекции, передающиеся половым путем. Инфекционно-воспалительный процесс — один из ведущих факторов, стимулирующих образование влагалищных полипов.
- Гормональные расстройства. Гормональные перестройки, а также заболевания, сопровождающиеся эндокринным дисбалансом, часто способствуют формированию полипов. Иногда сам процесс роста полипа происходит в цервикальном канале, а после тело новообразования выпадает в просвет влагалища, где и диагностируется.
Симптомы полипов влагалища
Полипы влагалища могут длительное время не проявляться какими-либо специфическими симптомами. Тем не менее некоторые женщины отмечают зуд и жжение пораженной области, которые возникают чаще всего после полового акта.
При интимной близости из-за травмирования новообразований могут развиваться кровотечение или скудные сукровичные выделения. В некоторых случаях отмечаются болезненность и дискомфорт внизу живота, однако такое явление встречается относительно редко.
Лечение полипов влагалища
Выявляют наличие патологического разрастания слизистой оболочки влагалища обычно в процессе стандартного вагинального осмотра, который может быть дополнен кольпоскопией для окончательного подтверждения диагноза.
В отличие от полипоза тела или шейки матки, влагалищные наросты могут быть ликвидированы такими методикам, как лазерная и радиоволновая коррекция, криодеструкция, электрокоагуляция и химическое удаление. Применение последней методики ограничено в период беременности. Определив причину развития полипоза, специалист также назначит лечение, направленное на устранение фактора, вызвавшего заболевание.
Как можно удалить полип?
Хирургические методы лечения – самые надежные. Они быстро избавляют женщину от полипов. Современные методики позволяют обойтись без кровавых операций, больших разрезов и шрамов. Если полип один, то его вырезают. А если образовалось много мелких выростов, то необходимо выскабливать верхний слой слизистой.Когда стоит делать операцию по удалению полипов? Без операции не обойтись в таких случаях:
- если лечение гормонами не дало результата;
- в том случае если женщине больше 40 лет;
- размер полипа более 1 см;
- когда обнаружились измененные клетки, которые могут стать основой злокачественной опухоли.
Если врач назначил операцию по удалению полипов – полипэктомию, пугаться не стоит. Через эту процедуру прошло много женщин. Современная медицина предлагает щадящие методики, которые позволяют сделать вмешательство почти бескровным, избежать послеоперационных осложнений и быстро вернуться к нормальной жизни.Гистероскопический метод – это лечение полипов с помощью малотравматической процедуры. Назначается, когда нужно уточнить место расположения полипов и удалить их. Эта процедура делается под «легким» наркозом и длится всего 15-20 минут. В тот же день женщина может вернуться домой.Наилучший период для этой процедуры – на 2-3 сутки после окончания месячных. В такие дни слизистая матки самая тонкая и полип возвышается над ней. Это дает возможность удалить вырост «под корень».Операция проводится под региональным или общим обезболиванием. Врач раскрывает канал шейки матки специальным инструментом. Через влагалище внутрь матки вводится трубчатый аппарат – гистероскоп. На первом этапе хирург осматривает полость матки с помощью маленькой камеры на конце трубки. Он определяет количество полипов и их размер. После этого электрической хирургической петлей полип отрезается от стенки матки. Место, где он крепился, прижигают жидким азотом или 5% настойкой йода.Большой единичный полип могут удалить щипцами. Его выкручивают, вращая вокруг оси. Этот метод позволяет максимально удалить все клетки новообразования. После такой процедуры сосуды, которые питали полип, тоже перекручиваются и не кровоточат. Потом ложе полипа (место, где он крепился) выскабливают кюреткой и обрабатывают антисептиком. Если этого не сделать, то полип может вырасти повторно из оставшихся клеток.Если в полости матки или в ее шейке врач обнаруживает множество мелких полипов, то делают раздельное выскабливание под контролем гистероскопа. К оборудованию крепится инструмент, похожий на ложечку с заостренным краем – кюретка. С ее помощью снимают весь функциональный (верхний) слой слизистой оболочки матки.После проведения процедуры, те ткани, которые извлекли из матки, отправляются в лабораторию для исследования.Гистероскопический метод лечения полипов матки позволяет эффективно и безопасно избавиться от любых доброкачественных полипов и свести к минимуму риск их повторного появления.
Достоинства гистероскопического метода:
- абсолютная безопасность;
- безболезненность;
- камера позволяет контролировать качество операции и не пропустить даже самые мелкие полипы;
- не приходится делать разрезы и не будет послеоперационных швов.
Лапароскопический метод – это выполнение операции через небольшие отверстия в нижней части живота. Лапароскопическим методом удаляют матку в том случае, если в полипе обнаружили атипичные клетки и высока опасность развития рака матки.
Как подготовиться к операции
Итак, как удаляют полип цервикального канала? Готовясь к операции, необходимо иметь точную информацию об удаляемом полипе.
- Изучением мазка из влагалища проверяется присутствие болезнетворной микрофлоры, в частности, могут быть обнаружена уреаплазма, микоплазма и хламидии.
- ПЦР-анализом проверяется наличие вирусов. Это могут быть самые разные вирусы, даже ВИЧ.
- УЗИ выявляет локализацию, формы и размеры полипов.
- Рентгеновский снимок — для выявления патологий органов дыхания.
- ЭКГ — для выявления патологий сердца.
- Обследование у флеболога требуется пациенткам с варикозом ножных вен.
- Гистероскопия эндоскопом — осматривается матка и цервикальный канал.
Операция выскабливанием
Пациентку располагают на гинекологическом кресле. Гинеколог вводит в цервикальный канал гистероскоп, через который можно видеть полип. В иных случаях используется гистерорезоскоп (это аппарат с режущей насадкой).
Полип удаляют, выкручивая его и иссекая ножку (на экране аппарата УЗИ видно основание полипа). Выскабливанием полностью очищают слизистую канала и шейки матки.
Выскабливание имеет преимущество: снижен риск рецидивного возникновения полипов. Недостаток технологии: травматичность и необходимость обезболивания общим наркозом. При малых размерах полипа показаны более современные технологии операции.
После операция в ткани слизистой канала остается ранка, необходимо предотвратить ее инфицирование. С этой целью пациентке назначают антибиотики.
Операция радиоволнами
Аппарат «Сургитрон» подает высокочастотные радиоволны на электрод, используемый в качестве хирургического скальпеля. Клетки полипа испаряются, будучи нагретыми высокочастотными колебаниями. Клетки полипа сами выделяют тепловую энергию, которая их же и разрушает. Электрод при этом не нагревается, за счет этого слизистая канала не подвергается риску получить ожог.
После удаления патологического образования радиоволнами не образуются рубцы и шрамы, поверхность слизистой гладкая. После операции нет болевого синдрома, поэтому отпадает надобность принимать обезболивающие.
Операция жидким азотом
Метод криодеструкции. Жидкий азот имеет очень низкую температуру — минус 195,7 градуса по Цельсию. При такой температуре клетки полипа разрушаются, будучи замороженными. У данного метода есть существенные недостатки: он болезненный, применяется под наркозом. Требуется тщательно рассчитывать глубину воздействия холода, чтобы не вовлечь в замораживание здоровые ткани канала. Операция оставляет после себя небольшую кровоточащую ранку.
Операция лазером
Удаление лазером является щадящим методом. Лазер хорош тем, что он бьет по полипу прицельно. Подвергаются воздействию лазерного луча лишь патологические ткани, остальная поверхность канала не затрагивается. Клетки полипа удаляются слой за слоем, при этом врач меняет интенсивность облучения. Сосуды, поврежденные разрушением полипа, запаиваются тем же лазерным лучом, благодаря чему не бывает кровотечения. Удалять полип лазером предпочтительно: не требуется вводить в канал механические инструменты. Операция проводится при максимальном контроле со стороны врача. Лазерная аппаратура позволяет рассчитать интенсивность излучения, его длительность и глубину проникновения луча в ткани. Рубец на месте удаленного полипа не образуется. После операции лазером срок реабилитации сокращается до двух недель.
Операция высокочастотным электротоком
Метод диатермокоагуляции. Основание ножки полипа прижигается электротоком высокой частоты. Процесс прижигания болезненный, требует обезболивания. К сожалению, данный метод плохо проявил себя: после операции возникают осложнения. Поэтому от данного метода современная медицина отказывается.
К счастью, прибегать к операции приходится не всегда: есть случаи самопроизвольного исчезновения полипов. По рекомендации врача следует повторно пройти гинекологический осмотр после очередной менструации.
Операция по удалению полипов имеет противопоказания:
- Воспалительные процессы в гениталиях;
- Беременность;
- Месячные;
- Онкологические процессы;
- Маточные кровотечения.
Не запрещено, но строго ограничивается удаление полипов при хронических заболеваниях: при сахарном диабете, при циррозе печени, при гемофилии, при почечной недостаточности. Гинеколог обязан проконсультироваться с профильным специалистом.
Чем опасны полипы
Любые полипы, где бы они не располагались, следует лечить. Даже если новообразования доброкачественные, состояние диагностируется как предраковое. Для женщин, планирующих иметь детей, патология особенно опасна, ведь она приводит к бесплодию.

Рассмотрим 2 вида полипов:
- Аденоматозный полип. Вид аденомы, проявляющийся в разрастании ткани эндометрия — слизистой оболочке, покрывающей внутреннюю поверхность матки (во время менструации функциональные слои эндометрия выходят с выделениями). Аденома — доброкачественная опухоль, и появляется только в органах с железистым эпителием, но со временем может переродиться в онкологию — рак. Риск повышается при запущенном состоянии. Аденоматозный полип появляется и на других органах, но возникновение его в матке наиболее опасно для жизни.
- Железистый полип. Уже из названия ясно, что этот тип полипов образован из желез и ткани эндометрия. Такие полипы маленькие и самые безопасные среди подобных новообразований. Диаметр железистого полипа не превышает 1,5 см. Железистые полипы почти всегда доброкачественные, хотя известны случаи, когда рак эндометрия развивался как раз из такого очага. Бывает, что просвет желез образует кисту, тогда диагностируется железисто-кистозный полип. Отдельным подвидом железисто-кистозный полип не является. Такие полипы образуются в виде узла и находятся в строме слизистой оболочки, который находится в местах отвода маточных труб.
Восстановление после процедуры
После полипэктомии пациент нуждается в отдыхе и покое. Болевой синдром после операции может сохраняться до 2-3 недель, в некоторых случаях до месяца. Сопровождаются спазмы в области матки незначительными кровяными выделениями: обильные выделения свидетельствуют о возникновении опасных последствий проведенной процедуры.
Для послеоперационного периода пациенту назначаются обезболивающие препараты. Для перестраховки женщине, перенесшей полипэктомию, назначают курс противовоспалительных препаратов и антибиотиков. Частью профилактических мер является прием антибактериальных средств. Спустя 2 недели после полипэктомии проводится повторное УЗИ-обследование, которое покажет динамику восстановления слизистой.
Диагностика полипов матки
Изначально врач собирает анамнез, проводит первичный осмотр и расспрашивает пациентку о характере ее жалоб. Затем выполняются инструментальные исследования, среди которых – УЗИ, гидросонография, гистероскопия и гистологическое исследование. Рассмотрим подробнее эти диагностические методы, которых нужно пройти для получения диагноза.
УЗИ (ультразвуковое исследование)
Это наиболее доступный диагностический метод, который используется и для скрининговых исследований. Трансвагинальное УЗИ позволяет выявить новообразование не только в теле, но и в шейке матки.
Важно!
По правилам такое УЗИ делают на 5-8 день менструального цикла. Если нарушить сроки диагностики, то возрастает вероятность ошибок. Связано это с разрастанием эндометрия, который попросту может закрыть патологические образования.
Гидросонография
Этот метод предусматривает введение в полость матки контрастного вещества и проведение УЗИ. Данная методика используется все реже. Связано это с ее трудоемкостью.
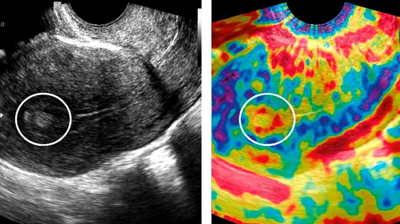
 Полипы на снимке УЗИ. Фото: Prz Menopauzalny / Open-i (CC BY-NC-ND 3.0)
Полипы на снимке УЗИ. Фото: Prz Menopauzalny / Open-i (CC BY-NC-ND 3.0)
Гистероскопия
Сегодня это один из самых информативных методов диагностики полипов матки. С его помощью можно определить размер, форму и точную локализацию полипа. Суть процедуры заключается во введении в цервикальный канал, а затем и в матку гистероскопа – тонкой гибкой трубки, снабженной камерой и источником света.
При гистероскопии врач оценивает стенки маточной полости, наличие патологических структур, а также состояние слизистой и в цервикальном канале.
Как правило, гистероскопическое исследование проводится на 5-7 сутки менструального цикла. В этот период у эндометрия минимальная толщина и незначительная кровоточивость.
Гистологическое исследование
Любое образование, которое удаляется, в дальнейшем подлежит гистологическому исследованию. Поэтому диагностический процесс продолжается и после удаления полипа. Делается такое исследования для исключения злокачественных опухолей.
Рак под маской полипа
Бывают случаи, когда диагностированный полип матки оказывается злокачественной опухолью. Это не диагностическая ошибка. Очень редко встречаются такие формы рака эндометрия, которые на УЗИ выглядят как полипы. Поэтому заключительным диагностическим этапом является гистологическое исследование. Удаленный в ходе операции полип отправляют в лабораторию, где проверяют его на наличие злокачественных клеток.
Другие виды исследований
В зависимости от возраста женщины и наличия сопутствующих заболеваний возможно проведение и других исследований. Например, диагностики состояния органов мочеполовой системы, пищеварительного тракта, сердца, сосудов и других органов. Это нужно для оценки рисков оперативного вмешательства (особенно, если речь идет об удалении матки) и гормональной терапии.
Когда обратиться к врачу
Обращаться нужно при появлении первых признаков расстройства в мочеполовой системе. Но лучше выявлять полип при плановом осмотре у гинеколога. В таких случаях полип, как правило, небольшой, и его удаление не сопровождается серьезным дискомфортом для женщины.
Источники
- Jane A. Bates (1997). Practical Gynaecological Ultrasound. Cambridge, UK: Cambridge University Press. ISBN 1-900151-51-0.
- Edmonds, D. Keith; Sir John Dewhurst (2006). Dewhurst’s Textbook of Obstetrics and Gynaecology. Blackwell Publishing. p. 637. ISBN 1-4051-5667-8.
- Кулаков В.И. Гинекология. Национальное руководство / В.И. Кулаков, Г.М. Савельева, И.Б. Манухин. — М.: ГЭОТАР-Медиа, 2009. — С. 771.
- Endometrial polyps: prevalence, detection, and malignant potential in women with abnormal uterine bleeding / P.G. Anastadiadis, N.G. Koutlaki, P.G. Skaphida et al. // Eur. J. Gynaecol. Oncol. — 2000. — Vol. 21. — № 2. — P.180-183.
- Edmonds, D. Keith; Sir John Dewhurst (2006). Dewhurst’s Textbook of Obstetrics and Gynaecology. Blackwell Publishing. p. 637. ISBN 1-4051-5667-8.
Лечение болезни
Пациенткам, у которых было диагностировано это заболевание, как правило, проводится удаление полипов. Эта процедура называется полипэктомией. Ее проводят и с целью удаления образования, и с целью последующего гистологического исследования взятого материала.
Если у пациентки отмечается рецидивирующая форма полипоза эндометрия, то в таком случае следует проводить выскабливание слизистой оболочки матки. Под выскабливанием принято понимать процесс удаления слизистой оболочки канала и тела шейки матки, которое проводят как для лечения, так и для диагностики. Часто в качестве диагностического метода практикуется раздельное выскабливание слизистой оболочки канала и тела шейки матки.
После удаления полипа производится криодеструкция (замораживание) основания его ножки. Если ночка полипа расположена возле наружного зева шейки матки, то в таком случае проводится ее клиновидное иссечение. После этой процедуры должно следовать полное выскабливание слизистой оболочки цервикального канала. Если полипы располагаются в шейке матки относительно высоко, то для точного контроля в процессе операции применяется гистероскоп.
Врачи рекомендуют проводить выскабливание слизистой оболочки уже после того, как полип был полностью удален. Дело в том, что во многих случаях развитие полипов происходит при гиперплазии эндометрия и эндоцервикса (так называются слизистые оболочки матки и шейки матки). При проведении криодеструкции основания полипа значительно уменьшается риск повторного возникновения полипов. В целом после выскабливания полипы опять развиваются примерно в 10% случаев.
Производится выскабливание исключительно в стационаре. Предварительно производится подготовка к этому вмешательству, аналогичная подготовке к любой другой полостной операции. Нельзя производить эту процедуру при острых воспалениях половых органов, а также при подозрении на перфорацию матки, произошедшую при аборте. После проведения этой процедуры следует несколько дней регулярно следить за температурой тела, а также за общим состоянием женщины и появлением выделений из половых органов. В послеоперационном периоде нельзя принимать ванны, допускать серьезные физические нагрузки, переохлаждаться. Сексуальную жизнь нельзя практиковать на протяжении нескольких недель.
После того, как женщина выписывается домой, она периодически посещает гинеколога для планового наблюдения. Кроме того, нужно сразу же обращаться за врачебной помощью в случае кровотечения, болевых ощущений внизу живота, нарушений месячного цикла.
Доктора
специализация: Гинеколог / Гинеколог-эндокринолог
Прохоренко Яна Владимировна
2 отзываЗаписаться
Подобрать врача и записаться на прием
Жанин
Регулон
Дюфастон
Утрожестан
Золадекс
Диферелин
Джес
Ярина
Норколут
Мирена
Марвелон
Классификация полипов матки
Строение полипов матки представлено такими значимыми составляющими, как:
- железы эндометрия;
- строма эндометрия;
- центральный сосудистый канал.
Поверхность полипа состоит из эпителия, ножка – из фиброзной стромы и толстостенных сосудов. Полипы матки подвержены изъязвлениям, инфекциям, некротизации и стойкой клеточной метаплазии.
Морфологическое строение полипов матки представлено следующими видами:
- железистый полип: возникает из клеток эндометрия, где расположены железы;
- фиброзный полип: образован железами слизистой оболочки матки и стромой (соединительной тканью);
- фиброзный железистый полип: образован соединительной тканью с отдельными железами;
- аденоматозный полип – развивается из-за размножения клеток железистого эпителия, приводящего к структурной перестройке желез.
Железистый тип полипа матки чаще всего развивается у молодых женщин. Новообразования железисто-фиброзного полипоза встречаются у женщин зрелого возраста. Фиброзные полипы матки чаще всего диагностируются у женщин после 40 лет.
Аденоматозные полипы матки имеют тенденцию к злокачественному образованию (до 2%) и могут привести к раку эндометрия, поэтому повышенное внимание к ним не будет чрезмерным. Среди видов полипов в матке – плацентарные полипы, образованные из фрагментов плаценты, оставшихся после неудачного или самопроизвольного аборта, осложненных родов, замершей беременности
Плацентарные полипы матки выявляются при длительном и обильном кровотечении, что со временем может привести к инфицированию и бесплодию
Среди видов полипов в матке – плацентарные полипы, образованные из фрагментов плаценты, оставшихся после неудачного или самопроизвольного аборта, осложненных родов, замершей беременности. Плацентарные полипы матки выявляются при длительном и обильном кровотечении, что со временем может привести к инфицированию и бесплодию.
Любой тип полипов приводит к нарушению внутреннего кровообращения, что может вызвать кровоизлияния и некротизацию неопластических клеток.
Полип в полости матки – это доброкачественная опухоль, но игнорировать ее лечение не следует, потому что полип, как и любая не до конца изученная опухоль, имеет тенденцию к перерождению.
Заключение
Подведем итоги:
- Полипы в матке – доброкачественные новообразования размером от нескольких миллиметров до нескольких сантиметров. Чаще всего они располагаются на тонкой ножке. Гораздо реже бывают полипы с широким основанием.
- При полипах в матке симптомы часто отсутствуют. Особенно это касается мелких образований.
- Примерно в 2% случаев полипы могут перерождаться в злокачественную опухоль.
- Полипы в матке – серьезный фактор женского бесплодия. Новообразования мешают имплантации оплодотворенной яйцеклетки, а также повышают вероятность выкидыша.
- Основной способ лечения маточных полипов – хирургическое удаление. Чаще всего можно обойтись малоинвазивным методом.
- Женщинам в постменопаузальном возрасте, как правило, рекомендуют более радикальные операции – удаление эндометрия или матки вместе с придатками.
- Важным элементом в лечении маточных полипов является лекарственная гормональная терапия. Необходимо нормализовать гормональный фон, чтобы минимизировать вероятность рецидива заболевания.
И помните, что чаще всего полипы в матке обнаруживают случайно при плановом посещении гинеколога. Поэтому регулярные осмотры у врача крайне важны для своевременного выявления и лечения болезни.






























 
    


